Дитяче протезування ортодонтія

Потрібна консультація?
Стоматология Са-Ната
9:00-20:00 без вихідних
Email

Фахівці клініки «Са-Ната» знайдуть підхід до будь-яких діток!

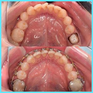
Зубне протезування — це не лише для дорослих. Буває так, що й юним пацієнтам необхідне дитяче протезування молочних зубів для повноцінного життя.

Відсутність навіть молочного зуба потрібно обов’язково відновити, інакше його нестача призведе до цілого ряду порушень у розвитку організму:

відбувається втрата кісткової тканини в області втрачених зубів;
зміщуються сусідні зуби у бік відсутніх;
знижується функція жувальних м’язів, стійкість ясен;
втрата передніх зубів призводить до порушень звукоутворення, погіршується естетика обличчя.

детское протезирование

Наші лікарі знають, як запобігти такому глобальному ланцюгу ускладнень!

Протезування дитячих зубів (знімні ортодонтичні пластини з штучними зубами) є ефективним методом профілактики зубощелепних аномалій і деформацій. Сприяє правильному росту та розвитку щелеп, нормалізує функції жування, дихання, звукоутворення та надає приємний естетичний вигляд!

Якщо ви досі вагаєтесь, чи потрібне вам дитяче зубне протезування — звертайтесь до наших спеціалістів за професійною консультацією!

Дитяче протезування — гарантія результату

Естетична стоматологія щиро рада вітати вас на нашому вебсайті. Са-Ната — це бренд, що поєднує відмінну якість, нові методи, креатив та індивідуальний підхід до кожного клієнта, тому якщо вам необхідна вектор-терапія — надійно, професійно, для встановлення правильного діагнозу, який вплине на успішний результат вашого лікування, то ви опинилися у нас не випадково. Адже фахівці Са-Ната вже 11 років дарують здорові усмішки по всій планеті — у прямому й переносному значенні. Лише в нас ціни на брекети Київ безперечно вам сподобаються — і це лише початок наших цікавих пропозицій. Наш професійний досвід, унікальні навички та інноваційне обладнання дають нам можливість надавати послуги терапевтичної стоматології. Ми впевнені, що усмішка здатна змінити світ, і ми готові допомогти вам у цьому. Вам потрібен ортодонт у дитячій стоматології? Ми з великою радістю будемо чекати на вас у нашій клініці!

Дитяче протезування — інноваційні методи лікування

Філософією нашої компанії є любов до людей та ефективне лікування. Хочемо запропонувати вашій увазі рентгенівський знімок зубів, гарантуючи повний комфорт і натуральний вигляд вашої усмішки. Маючи власну цифрову зуботехнічну лабораторію та використовуючи комп’ютерні технології, ми створюємо високоякісні ортопедичні конструкції для вас! Мрієте про ідеально рівну усмішку і хочете дізнатися, скільки коштує професійне чищення зубів? Ми із задоволенням проконсультуємо вас! У вас припухлість ясен? Завітайте до нас на прийом — завдяки нашим новим технологіям і експертності команди ви не відчуєте дискомфорту. Також у нас є процедура фторування зубів, ціна якої приємно вас здивує. Шукаєте видалення зуба мудрості у Києві? Наші досвідчені спеціалісти-імплантологи проводять усе за найновішими міжнародними стандартами та запропонують вам широкий вибір найкращих імплантів. Будемо раді бачити вас у наших стоматологіях Києва — приходьте на прийом до нашої чудової клініки Sa-Nata.

Дитяче протезування — гарантія результату

Естетична стоматологія щиро рада вітати вас на нашому вебсайті. Са-Ната — це бренд, що поєднує відмінну якість, нові методи, креатив та індивідуальний підхід до кожного клієнта, тому якщо вам потрібна вектор-терапія — надійно, професійно, для встановлення правильного діагнозу, який вплине на успішний результат вашого лікування, то ви опинилися у нас не випадково. Адже спеціалісти Са-Ната вже 11 років дарують здорові усмішки по всій планеті — у прямому та переносному значенні. Лише у нас ціни на брекети в Києві безсумнівно вам сподобаються — і це лише початок наших цікавих пропозицій. Наш професійний досвід, унікальні навички та інноваційне обладнання дають нам можливість надавати послуги терапевтичної стоматології. Ми впевнені, що усмішка здатна змінити світ, і ми готові допомогти вам у цьому. Вам потрібен ортодонт у дитячій стоматології? Ми з великою радістю будемо чекати на вас у нашій клініці!

Дитяче протезування — інноваційні методи лікування

Філософією нашої компанії є любов до людей та ефективне лікування. Хочемо запропонувати вашій увазі рентгенівський знімок зубів, гарантуючи повний комфорт і природний вигляд вашої усмішки. Маючи власну цифрову зуботехнічну лабораторію та використовуючи комп’ютерні технології, ми створюємо високоякісні ортопедичні конструкції для вас! Мрієте про ідеально рівну усмішку і хочете дізнатися, скільки коштує професійне чищення зубів? Ми із задоволенням проконсультуємо вас! Маєте припухлість ясен? Завітайте до нас на прийом — завдяки нашим новим технологіям і експертності команди ви не відчуєте дискомфорту. Також у нас є процедура фторування зубів, ціна якої приємно вас здивує. Шукаєте видалення зуба мудрості у Києві? Наші досвідчені спеціалісти-імплантологи проводять усе за найновішими міжнародними стандартами та запропонують вам широкий вибір найкращих імплантів. Будемо раді бачити вас у наших стоматологіях Києва — приходьте на прийом до нашої чудової клініки Sa-Nata.

Наші переваги

Чому клієнти обирають нас

Автоклав для дезинфекции стоматологических инструментов
01
Висока безпека прийому
У «Са-Ната» працюють з автоклавами трьох брендів: автоклави брендів «Melag», «Anthos» та «Castellini». Це найсучасніше та професійне обладнання для стерилізації, повністю відповідне світовим стандартам.
02
Комплексний індивідуальний підхід
Комплексний підхід дозволяє точніше діагностувати проблему та підібрати найефективніші методи лікування.
03
Інноваційне обладнання
Усі наші клініки оснащені сучасними апаратами та найновішим обладнанням для лікування, що дозволяє нашим спеціалістам працювати максимально результативно.
04
Якісна детальна діагностика
Мережа клінік «Са-Ната» обладнана найсучаснішим та безпечним рентгенівським обладнанням, яке дає дуже чітку та детальну картину клінічного випадку пацієнта.
Image

Відгуки наших клієнтів

Чудовий лікар Богдан Іванович провів чистку зубів уважно та ретельно? Рекомендації корисні, обов’язково прислухаюся. Адміністратори — уважні та ввічливі дівчата, відповіли на всі запитання й допомогли знайти зручний час для запису? Рекомендую

23.06.2025
Дмитро К.
Лікувала зуби в Романа Вікторовича — це не просто лікар-стоматолог, а справжній ювелір. Після лікування важко відрізнити, який зуб лікувався — виглядає як здоровий! Уся моя родина лікувалася в нього!
02.06.2025
Якубіна Тетяна Юріївна
Дякуємо дитячому лікарю Холодняк Валерії Володимирівні, дитині все сподобалося, чудова клініка, дякуємо, що Ви є.
27.03.2025
Ушакова Олена Олександрівна
Хочу залишити тут слова вдячності! Денис Олександрович — це лікар від Бога! Дякую всім лікарям і дівчатам із ресепшена за високий рівень сервісу, якості та турботи про клієнтів! Ви найкращі!
25.03.2025
Тимченко Руслан Вікторович
Клініка має сучасне обладнання та кваліфікований персонал. Лікар Косик Богдан Іванович провів якісне лікування проблемного зуба. Державні медзаклади не мають такого обладнання, як клініка «СА-НАТА», а тому не можуть проводити операції такого рівня складності.
08.03.2025
Євген
Велика вдячність хірургу Ільїних Карині Сергіївні!!! Була в лікаря на видаленні «зуба мудрості». Я в захваті від лікаря — унікальне поєднання soft skills і hard skills. Чудовий професіонал, із якою справді був діалог навіть під час видалення зуба: знаходила адаптований підхід, додавала анестезію у потрібні моменти, а результат — просто неймовірний! Щиро вдячна долі за те, що потрапила саме до цього лікаря!
07.01.2025
Шкварок Анастасія Костянтинівна
Лікування сподобалося.
23.11.2024
Малюженко Михайло Вікторович
Клініка сподобалася, висока якість надання послуг, уважне ставлення до пацієнтів.
11.11.2024
Ігор
Хірург Манджавідзе Давид Костянтинович — професіонал своєї справи! Провів мені дуже складне видалення й зробив це якісно. Також важливо, що він був на зв’язку зі мною, коли в мене виникали запитання вже після операції. Дуже сподобалося ставлення та якість роботи. Рекомендую!
03.11.2024
Гасай Г. О.
Ціна = Якість. Гарна адміністрація та лікарі, усе швидко й без зайвих клопотів.
18.09.2024
Моросліп Олександр Миколайович
Приємно відвідувати цю стоматологію: персонал дуже ввічливий, приємна атмосфера, комфортні кабінети. Висловлюю велику вдячність персоналу за увагу та професіоналізм.
14.08.2024
Крищенко Мирослава Андріївна
Була на консультації у пародонтолога Голубець Д.Д. Консультацією задоволена. Рекомендую лікаря. Дуже вдячна.
05.03.2024
Піщевець Оксана
Ця стоматологія, яку я обрала, вражає не лише сучасним обладнанням, а й високою кваліфікацією свого персоналу. Лікарі професійно та турботливо підходять до кожного випадку, завжди готові відповісти на всі запитання й забезпечити комфорт пацієнта. Їхня експертиза та турбота зробили відвідування стоматолога приємним і безпечним. Дуже задоволена результатом роботи та професіоналізмом усього колективу!
06.02.2024
Вербик Надія
Хочу висловити безмежні слова вдячності лікарю Косику Богдану Івановичу. Лікар — професіонал своєї справи, до роботи ставиться відповідально, пояснює методику процесу лікування й аргументує доцільність тієї чи іншої маніпуляції. На прийомі завжди ввічливий і стриманий, береться навіть за складний зуб, що не може не тішити. Одним словом, сподобалося, хоча до Богдана Івановича я завжди боявся ходити до стоматолога.
11.01.2024
Янчук Ігор Вікторович
Під час відвідування стоматолога на Позняках було надано якісний сервіс, висококваліфіковані лікарі, ввічливий персонал, приємна атмосфера. Відвідували з дитиною — після лікування зубчика дитина не нервує, усе добре. Звертатимемося за потреби й надалі.
26.11.2023
Федчук Анна
Після відвідування клініки на Дмитрівській, 75 у мене залишилося приємне враження: кваліфіковані лікарі, сучасне обладнання, уважне та коректне ставлення до пацієнта, доброзичлива атмосфера, красивий інтер’єр заслуговують на повагу й лише найвищу оцінку. Бажаю колективу успіхів у подальшій діяльності!
03.11.2023
Римма Анатоліївна
Щороку проходжу огляд у лікаря й роблю чистку зубів. Але чистка зубів у Марини Адріанівни Кожокару — це ще й повноцінна консультація спеціаліста. Дякую за професіоналізм.
25.08.2023
Ірина
Дякую дитячому ортодонту Байраченку Сергію Дмитровичу за уважне та професійне ставлення. На прийомі виявилася ще терапевтична проблема із зубом у дитини. Сергій Дмитрович запросив дитячого лікаря-стоматолога Ілющенко Валерію Сергіївну. Лікар уважно оглянула й успішно усунула цю проблему. Зуб довелося видалити. Валерія Сергіївна зробила це професійно, спокійно та безболісно. Син дуже хвилювався, але потім із полегшенням і радістю вийшов із кабінету. У той день у сина був день народження. Колектив привітав його, подарував подарунок і зробив знижку на честь свята. Підсумок — швидко й ефективно усунена проблема, гарний настрій у батьків і дитини, приємні спогади в дитини про візит до лікаря! Це важливо для подальших відвідувань стоматолога! Дівчата на ресепшені — ввічливі й уважні. Дякую всьому колективу!
25.08.2023
Вершиніна Олена
Хочу подякувати лікарю Ільїних Карині Сергіївні за високий професіоналізм, чуйність і уважність. Після проходження чистки зубів залишилися найкращі емоції від результату й навіть від самого процесу. Щиру вдячність висловлюю лікарю та клініці за бездоганний підбір професіоналів!
24.08.2023
Бойко Оксана Іванівна
До клініки потрапив уперше, але залишився задоволений абсолютно всім. Від адміністрації закладу — приємних дівчат, які привітно зустріли мене при вході, — до лікаря, що створила максимально комфортну атмосферу у стоматологічному кріслі. Лікар Любов Юріївна надала повну та вичерпну консультацію щодо стану моїх зубів, виконала професійну чистку й одразу вилікувала один із зубів — із зрозумілими поясненнями та фото-звітами. Той випадок, коли справді хочеться повертатися до стоматолога знову й знову. Загалом якість надання стоматологічних послуг висока, тому клініку та лікаря Любов Юріївну рекомендую всім.
12.07.2023
Олександр Юрійович
Хочу залишити тут слова вдячності за те, що мені повернули мою усмішку! Денис Олександрович — це лікар від Бога! Дякую всім лікарям і дівчатам із ресепшена за високий рівень сервісу, якості та турботи про клієнтів! Я з вами з 2015 року!!! Ви найкращі!
14.06.2023
Марія
Велике спасибі Кириленку Юрію, професіоналу своєї справи, видалення зубів пройшло безболісно й дуже швидко.
01.06.2023
Золоторучко Валерія Юріївна
Атмосфера клініки чудова, привітний персонал. Якщо ви приходите з дітьми — можна не хвилюватися, за дітьми доглянуть і пограють. Дякую дівчатам. Велика вдячність Дубіченку Сергію Ігоровичу за роботу, але наша робота ще в процесі ?.
30.05.2023
Наталія
Зробив загальну чистку. Лікар — Музика Н.Ю. Дуже сподобалося.
23.05.2023
Толстогузов Олександр
Клініка на належному рівні. Лікував карієс — лікар Любов Юріївна уважно проконсультувала та в той же день розпочала лікування. Усе було швидко й безболісно. Лікар дуже уважна та трепетна до своєї роботи, що не може не тішити. Рекомендую!
01.05.2023
Борис
Вразила професійна робота лікарів і адміністраторів. Проходила зняття зубного каменю та чистку зубів. Лікар Владислав має дуже чутливі руки, усе зробив якісно й безболісно. Від цієї процедури отримала лише задоволення. Усім рекомендую проходити чистку зубів у лікаря Владислава. Дякую за доброзичливе ставлення та відповідальний підхід до роботи.
06.04.2023
Кулик Олена
Висловлюю вдячність лікарям, які вкладають свої знання у свою роботу задля досягнення чудових результатів і професійного зростання, лікарям від Бога — Марині Адріанівні Кожокару, Олександру Михайловичу Кравчуку, а також їхнім асистентам і співробітникам ресепшена, які нагадували про наступні прийоми до лікаря. Хвала вашій злагодженій роботі під керівництвом головних адміністраторів клініки «СА-Ната» та індивідуальному підходу до кожного клієнта вашого закладу.
26.03.2023
Лугова Ольга Василівна
У 2022–2023 роках проходила лікування каналів із подальшим встановленням цирконієвих коронок на двох зубах. Хочу подякувати Ревенку Денису Олександровичу та Грабар Мирославі Володимирівні за високий професіоналізм, турботу, терпіння та індивідуальний підхід. Порадувало зручне розташування клінік за різними адресами й уважний персонал. Протезування зубів пройшло легко, швидко та якісно. Рекомендую клініку «Са-Ната» та її чудових лікарів!
16.03.2023
Шишман Ольга Юріївна
Клініка дуже сучасна, персонал привітний, а лікарі — професіонали! Під час прийому не відчувала жодного дискомфорту, лікар Богдан Іванович усе зробив швидко й якісно! ?
06.03.2023
Богданова Олександра Олегівна
Щиро вдячна за сумлінну працю, професіоналізм і доброзичливість лікарю-хірургу Дубіченку Сергію Ігоровичу та лікарю-ортопеду Нечаю Любомиру Ростиславовичу. Чудові, прекрасні лікарі!
26.02.2023
Москаленко Наталія Вікторівна
Чудова стоматологія, прекрасні лікарі, виконують свою роботу зовсім не боляче. Дякую ?.
22.01.2023
Козакова Дар’я
Була на чистці зубів на Дмитрівській, 75. Усе дуже сподобалося. Лікар Максим Олександрович провів процедуру швидко й безболісно, а також надав рекомендації щодо подальшого лікування. Клініка дуже комфортна, рекомендую.
15.01.2023
Шаталова Ірина Олександрівна
Хочу подякувати лікарю-гнатологу Андрію Степановичу. Завдяки його професіоналізму, позитивному настрою та впевненості у вирішенні проблеми ми нарешті, після багатьох років, маємо «світло у віконці». Процвітання клініці, у якій працюють такі спеціалісти, дякуємо, що трудитеся у цей складний час!
02.12.2022
Панасюк Юлія
Хочу висловити величезну вдячність лікарю від Бога — Олені Олександрівні Гавриловій, яка швидко та якісно пролікувала мій проблемний зуб, через який я дуже переживала. Уважна, обережна, надає колосальну психологічну підтримку пацієнту, усе робить чітко й швидко. Я прийшла просто лікувати один зуб, а вона мене так надихнула й підтримала, що я відразу ж видалила й зуби мудрості, які вже просто «кричали» про свій поганий стан. Дуже рекомендую клініку «Са-Ната» та Олену Олександрівну, особливо тим, хто боїться й відкладає лікування!
11.11.2022
Надія Касьян
01.11.22 ми відвідали клініку на Чавдара. При вході нас зустріли привітні адміністратори. Потрібна була консультація лікаря-ортодонта для дитини 3 років. Вважаю, що нам дуже пощастило, що ми потрапили до лікаря Анджеліки Володимирівни. Вона знайшла такий підхід до дитини, що після спілкування з лікарем малюк відкрив ротик і дозволив провести огляд. Це дуже важливо. Після огляду лікар надала вичерпні відповіді на всі наші запитання й пообіцяла додатково проконсультуватися ще з колегами. 02.11.22 лікар не змогла додзвонитися й надіслала у Viber голосове повідомлення, у якому для батьків усе було настільки докладно пояснено, що більше не залишилося запитань. Велике спасибі за турботу.
04.11.2022
Микитенко Ірина
Ревенок Денис Олександрович просто найкращий — чудово виконав свою роботу, і тепер я зможу усміхатися, не боячись, що хтось побачить дірочку замість зуба. У вас усі лікарі, з якими я мала справу, чудові, але Ревенок просто додав позитивних емоцій надовго.
07.10.2022
Трень Вікторія
Дуже вдячний за допомогу, сподобався підхід до лікування — усе швидко й професійно, тепер тільки до вас!
03.10.2022
Олександр
Щиро дякую за високопрофесійну роботу під час надання стоматологічних послуг Марії Адріанівні Кожокару. Це лікар, яка вкладає душу у свою справу! Велике Вам спасибі, дай Боже здоров’я та жіночого щастя!
10.09.2022
Скулят В. Е.
Хочу залишити позитивний відгук лікарю Мирославі Володимирівні. Професіонал своєї справи! Усе швидко й якісно!
04.09.2022
Орлов Роман Русланович
Відмінний сервіс. Хірурги й терапевт — професіонали, усе ввічливо, швидко й якісно! Рекомендую клініку.
08.08.2022
Віктор
Клініка на найвищому рівні, лікарі використовують найсучасніші передові технології. Дуже привітний персонал, відчуття надійності, усі лікарі кваліфіковані й підходять до кожного пацієнта з індивідуальною відповідальністю. Відчуття, що ти потрапив у надійні руки, не полишало мене. Вперше анестезію зробили безболісно — завдяки сучасним препаратам. У клініці бачили іноземців, які прилетіли з Америки на лікування. Ціни адекватні, сміливо рекомендую.
11.07.2022
Іванова Наталія Юріївна
Була на консультації у лікаря-гнатолога Железко та ортодонта Терно — вони дуже зрозуміло пояснили мені всю ситуацію, пов’язану з прикусом. Залишилася задоволена комплексним підходом і повнотою діагностики, отримала повну картину того, що маю на сьогоднішній день. Якщо плануватиму подальше лікування, то обов’язково звернуся до клініки «Са-Ната».
01.07.2022
Вишневецька Вікторія Сергіївна
Безмежна вдячність за професійну роботу та ввічливий прийом адміністраторам, лікарям і їхнім асистентам клініки на Чавдара, а саме: Зданчук Дар’ї Юріївні — лікарю-стоматологу від Бога. Я перестала боятися всіх цих процедур, і тепер у мене здорові зуби. Дякую за ваш професіоналізм і турботу. Дар’ї Дмитрівні — лікарю-пародонтологу. Чистку та кюретаж лікар виконала безболісно, і мої зубки стали супер гладенькими та гарними. Дякую! Загалом, дуже задоволена, що звернулася до клініки на Чавдара. Рекомендую.
23.06.2022
Лебедюк Ірина
Хочу висловити величезну подяку лікарю Дєєвій Ользі Святославівні, яка дуже професійно лікує зуби та має позитивну енергетику й ввічливість. Велике спасибі хочу сказати хірургу Коасновид Владиславу Петровичу, який, можна сказати, врятував мене — дуже складне видалення двох зубів у запальному процесі виконав на найвищому рівні: чітко, акуратно, професійно. Шви зняли, усе загоюється. Дякую людям, які знаходяться на своєму місці. Усім рекомендую клініку «Са-Ната». Міцного здоров’я!
10.05.2022
Ігнатченко Олена
Хочу щиро подякувати клініці «Са-Ната» на Чавдара, 11, а саме лікарю Владиславу Петровичу за те, що він чудово виконує свою роботу. Видалення зуба мудрості (який був зіпсований і болів) пройшло швидко та безболісно. Анестезія вже відходить, і пацієнт почувається добре ;) Дякую вам щиро!
26.04.2022
Корицька Наталія Миколаївна
Велика подяка за ввічливий, теплий прийом. Ви мені дуже допомогли з моєю проблемою, через яку я не міг повноцінно їсти та спати вночі.
07.04.2022
Лащенко О.С
Велика подяка всьому колективу клініки «Са-Ната» за теплий прийом, а окрема подяка — лікарю Дубіченку Сергію Вікторовичу за найприємніший похід до стоматолога. Усім величезна вдячність!
01.04.2022
Євтєєв Іван Олександрович
Робив чистку зубів. Результатом задоволений — мені детально розповіли, як потрібно правильно та ефективно чистити зуби. Рекомендую! Надалі звертатимусь саме до цієї стоматології.
18.02.2022
Корчик Артем Вікторович
Лікувалася у Кожокару Марини Андріанівни — мені дуже сподобалося, усе чудово, зуб не турбує вже 3 роки. Сподобався підхід, професіоналізм і добропорядність! Дякую!
01.02.2022
Костинян Надія
Велика подяка клініці за швидкий запис, чудове обслуговування та швидке, якісне лікування.
27.01.2022
Войтенко Діана Олександрівна
Обслуговуванням задоволена, чудовий кваліфікований персонал.
27.01.2022
Жадан Анна Ярославівна
Робила чистку зубів — усе пройшло добре, доволі швидко, лікар був ввічливий.
21.01.2022
Ковальська Яна
Лікар видаляв зуб. Процедура пройшла безболісно. Лікарі уважні та ввічливі. Після видалення провели консультацію, як доглядати за зубами. Вдячна за виконану роботу.
21.01.2022
Пашковська Оксана Геннадіївна
Стоматологія чудова, рекомендую лікаря Масюк Христину Сергіївну — усе робить естетично та акуратно.
17.01.2022
Броян Даваті Осейович
Чудовий лікар Богдан Іванович зробив чистку зубів уважно й ретельно?. Рекомендації корисні — обов’язково прислухаюся. Адміністратори — уважні та ввічливі дівчата, відповіли на всі запитання й допомогли знайти зручний час для запису?. Рекомендую!
16.01.2022
Сологуб Яна Юріївна
Довірилась цій клініці — і не помилилася. Дуже сподобалося лікування під мікроскопом. Професіонал своєї справи, лікар Любомир Ростиславович, успішно провів перелікування зубних каналів і лікування гранульоми. Завдяки цій клініці зберегла природні зуби, встановила кілька коронок, виправила прикус за допомогою капи. Приходжу на прийом, як на свято. Після відвідування клініки хочеться усміхатися! Однозначно рекомендую. Чистота, акуратність і прозорість у всьому. Усьому персоналу ВЕЛИЧЕЗНЕ ДЯКУЮ. ВИ НАЙКРАЩІ!!! Продовжую лікування.
10.01.2022
Бондаренко Лариса
Вразила професійна робота лікарів та адміністраторів. Рекомендую всім тільки цю клініку для лікування зубів. Я задоволений лікуванням!
09.01.2022
Мороз Артем Андрійович
Усе чудово! Гарні лікарі та персонал.
02.01.2022
Валерія
Чудова клініка, величезна вдячність Дєєвій Ользі Святославівні за увагу та турботу!!!
29.12.2021
Софіщенко Катерина
Процедура пройшла добре. Лікар усе пояснила. Прийомом задоволена.
29.12.2021
В'юшкова Анастасія
Проходила чистку в клініці на Лук’янівці, а також видаляла зуб у лікаря Андрусіка Андрія Анатолійовича. Обидві процедури пройшли чудово, а видалення — ще й швидко. Завдяки вам, можливо, я перестану боятися стоматологів :)
24.12.2021
Жиліна Альона Ігорівна
Усе супер?! Дуже сподобалася клініка та персонал — усе на найвищому рівні: і обладнання, і лікарі?. Рекомендую!
23.12.2021
Білицький Андрій Васильович
Чудова клініка! Команда професійних лікарів. Окрема подяка за самовіддану ювелірну роботу Маргариті Кравець. Рекомендую!
20.12.2021
Юлія
Наразі я та моя дружина проходимо профілактичне лікування зубів у стоматології «Са-Ната». Хочу зізнатися — приємно вражені: професіоналізм лікарів на високому рівні, усе роблять якісно та безболісно. Безболісно настільки, що під час останнього візиту я кілька разів задрімав просто у кріслі під час лікування 4-х каналів у зубі. При цьому ціни на послуги дуже тішать — приблизно в середньому діапазоні по Києву (близько 1000 гривень за зуб). Однозначно рекомендую стоматологію «Са-Ната» для профілактики та лікування проблем із зубками. Усім бажаю здорових і прекрасних усмішок ;)
19.12.2021
Калюх Дмитро Васильович
Чудова клініка. Величезна подяка персоналу, який там працює. Іду туди сміливо вже не вперше.
19.12.2021
Харчевникова Олена
Уперше в цій клініці — у захваті від лікарів! Бездоганно, комфортно й просто ідеально все! Раджу всім!!! Мені дуже сподобалося!!!
18.12.2021
Пелех Ірина Миколаївна
Дуже класна клініка! Лікар Гнатюк Катерина — дуже уважна й акуратна, провела чистку безболісно, мені було комфортно. Клініка найвищого рівня, рекомендую.
14.12.2021
Пупач Віта
Сьогодні були на чистці в цій клініці — усе дуже сподобалося)) Лікарі професіонали, усе на найвищому рівні. Рекомендую!
10.12.2021
Корнілова Віола
Видаляла зуб у Сергія Ігоровича — усе на найвищому рівні, час пролетів непомітно, усе супер :) Якщо хочете видаляти — вам однозначно до нього.
09.12.2021
Усольцева Ася
Дуже задоволена обслуговуванням! Усе швидко та якісно❤️. Дякую!
09.12.2021
Устиненко Роксолана Олегівна
Сьогодні була на чистці в цій клініці — усе дуже сподобалося. Лікар Наталія Василівна — професіонал, дякую :) Рекомендую!
07.12.2021
Кир’якова Наталія Григорівна
Дякую персоналу клініки та адміністраторам за уважне ставлення до пацієнтів.
05.12.2021
Нуфтуллаєва А.С.
Були з племінниками у лікаря Гюлі в іншій клініці — уперше діти не плакали у стоматолога! Обов’язково прийдемо до неї під час наступного візиту!)
05.12.2021
Сардалова Іман
Професійна клініка з висококваліфікованим персоналом. Починаючи з привітного погляду на рецепції й закінчуючи делікатним ставленням лікарів — це про атмосферу в «Са-Наті». Що стосується лікування — усе вибудовують крок за кроком, уважно спостерігають і роблять усе професійно, із використанням найсучаснішої техніки. Лікуємося всією сім’єю та рекомендуємо друзям. Дбати про свої зубки — тільки в «Са-Наті».
04.12.2021
Брушко Тетяна
Велика подяка за лікування, дуже хороша клініка, рекомендую.
04.12.2021
Берестовець Марина Владиславівна
02.12.2021 р. лікар-терапевт Петрик Наталія Василівна провела чистку зубів. Роботу виконала професійно, на високому рівні. Дуже уважна до пацієнта. Повністю задоволений відвідуванням клініки «Са-Ната». Рекомендую.
02.12.2021
Гавриш Микола Григорович
Клініка варта уваги. Рекомендую Нечая Любомира Ростиславовича та Макарчука Василя Володимировича.
30.11.2021
Городецька
Уважні, чуйні лікарі — велика їм подяка. А також чудові співробітники. Рекомендую.
28.11.2021
Логвиненко Ірина
Дбайливі, уважні лікарі. Прекрасне ставлення до пацієнтів з боку персоналу. Рекомендую.
28.11.2021
Логвиненко Ірина
Сьогодні в цій клініці мені провели чистку зубів. Чистку виконувала лікар Амалія Басамівна. Процедура пройшла швидко й якісно, лікар одразу викликала довіру, усе детально пояснила та відповіла на всі запитання. Чисткою я залишилася дуже задоволена. Роботу лікаря Амалії Басамівни оцінюю як виконану на найвищому рівні. Рекомендуватиму вашу клініку своїм друзям і знайомим.
27.11.2021
Ілюхіна О.В.
Сподобався підхід і клініка загалом. Дякую Мирославі Володимирівні за консультацію.
23.11.2021
Кривута Світлана
Почну з основного! Я щоразу дуже себе вмовляю піти до зубного лікаря, і вдається домовитися з собою тільки тоді, коли зуб починає боліти і вже ніяк інакше… Причина — досвід був не дуже, мені 33 роки і я бував у різних лікарів у різних клініках. Що сподобалося: 1 мабуть найважливіше!!! Дивовижний підхід лікарів. Лікар насамперед суперспеціаліст, як виявилося, і що дуже важливо для мене — бомбезний психолог! Відчувається справді індивідуальний (не на словах, а на ділі) підхід до клієнта, до мене був саме такий. Я відчув увагу, прихильність, лікарі забезпечують вам максимальний комфорт, увагу, яка розслабляє і дозволяє «видихнути», не сидіти на голках і не бути у стресі під час ювелірної роботи :) 2 Якість роботи — відчуття, що на роки і роки вперед. Зуб не був втрачений, хоча інші лікарі (двоє) винесли вирок… 3 Інструментарій: уся необхідна техніка на місці, лікар одразу оцінює результати своєї роботи за знімком на комп’ютері у 3D-моделі. Нікуди для цього не потрібно бігати, усе знаходиться «під рукою». Обладнання візуально нове і приємне оку, очевидно, точно дороговартісне. ПІДСУМОК: *Єдина клініка, куди я вже йду без відчуття страху і з усвідомленням того, що мені зроблять зуби настільки якісно, наскільки це можливо. *Так, ціни не низькі, я б сказав, для мене високі. Але є «АЛЕ», і воно стало основою для подальшого лікування тут. а) — зуб у моєму випадку був врятований — якби ні, привіт імплант, а це вже зовсім інша історія по грошах і по часу… б) — у моєму випадку канали (так показав знімок) були зроблені якісно, але через відсутність техніки не до кінця опрацьовані, через цю причину, як результат, були втрачені нерви і частина зубів «мертві». Доведеться переробляти роботу попередніх лікарів — і знову гроші, і знову час… Що точно в довгостроковій перспективі не вихід, і вигідніше зробити один раз якісно, ніж бігати і переробляти «хорошу» роботу лікарів. Скупий платить двічі! Не повторюйте моїх помилок. Точно і беззаперечно рекомендую вам обов’язково прийти в «СА-НАТА» і почати лікуватися саме тут!!! Повірте, після першого візиту ви просто не зможете і не захочете йти в будь-яку іншу клініку і шукати інших лікарів.
23.11.2021
Науменко Олександр
Клініка супер, усе дуже сподобалося!! Відрізняється від інших сучасним обладнанням, приємною атмосферою та доброзичливим персоналом! Дуже рекомендую її іншим))
22.11.2021
Цимбалюк Дар’я
Чудовий хірург. Видалила зуб мудрості. Усе відмінно. Рекомендую.
21.11.2021
Гриненко Олена
Рекомендую!! Діти віком 7 і 11 років не бояться стоматолога завдяки професіоналам своєї справи. Для дітей завжди є маленькі подаруночки)))
20.11.2021
Бунтуш Ірина
Була сьогодні на гігієнічній чистці — усе дуже сподобалося, лікар надав детальну консультацію. Надалі планую лікуватися в цій клініці! Рекомендую!
20.11.2021
Пархомик Катерина Сергіївна
Чудова клініка, чудовий персонал, раджу.
20.11.2021
Влад
Клініка справжнього європейського рівня обслуговування. Лікарі та адміністратори — справжні майстри своєї справи.
19.11.2021
Сайко Олег
Була сьогодні вперше в клініці за рекомендацією знайомого — усе дуже сподобалося ?. Робила лазерне відбілювання — результатом задоволена. Рекомендую.
18.11.2021
Богданюк Анастасія
Дуже вдячна лікарю Маріанні за чистку та детальну консультацію щодо складного зуба, за професіоналізм і спокій.
17.11.2021
Волкова Лана
Висока якість обслуговування. Дитячий лікар Кязимлі Гюльтадж Авезгизи — дуже хороша. Дитина залишилася задоволена!
17.11.2021
Титова Оксана Володимирівна
Лікування на високому рівні. Фахівці добре консультують. Гарне ставлення до клієнтів.
14.11.2021
Сайко Наталія
Чудова клініка, хороші фахівці) Приємно, що дбають про клієнтів)
13.11.2021
Болгарин Дмитро
Професійні лікарі, чудове обслуговування, ввічливі співробітники. Завдяки «Са-Наті» перестала боятися стоматологів)
13.11.2021
Кашпрук Дар’я Олегівна
Ви — фахівці своєї справи! Ви з легкістю та бажанням підходите до будь-якої проблеми і з таким самим комфортом її вирішуєте :) Дякую  ❤️
11.11.2021
Власик Ганна Григорівна
Хороша, чиста клініка з сучасним обладнанням! Була вперше, видаляла зуб. Було дуже страшно, але Дубіченко Сергій Ігорович зробив усе чудово, величезне йому спасибі! Єдине неприємне — адміністратор не попередив, що після 21:00 потрібно доплачувати 300 грн за прийом! А загалом усе круто, дякую!
09.11.2021
Пустовгар Ірина Юріївна
Дуже задоволена професіоналізмом лікарів.
08.11.2021
Лущик Інна Михайлівна
Дякую лікарю Катерині Анатоліївні за чуйний підхід до роботи та дуже ніжну увагу до пацієнта, сеанс пройшов дуже спокійно й приємно.
08.11.2021
Костирська Ольга
Був сьогодні в лікаря на лікуванні карієсу. Усе сподобалося, клініка на найвищому рівні. Раджу.
07.11.2021
Левшенко Даніїл Олегович
Чудовий персонал, майстри своєї справи. Лікують швидко, якісно та безболісно.
07.11.2021
Канацуй Семен Георгійович
FAQ

Відповіді на часті запитання наших клієнтів

Не нашли ответ на нужный вопрос?
Задайте его нашему специалисту в удобной для Вас форме
Стоматология Са-Ната
9:00-20:00 без вихідних
Email

Дорослим здоровим людям рекомендується проходити огляд не рідше одного разу на рік. Якщо ж у людини є навіть незначні проблеми з яснами або зубами, варто скоротити інтервали між візитами. У такому випадку слід відвідувати клініку кожні півроку.

Рекомендується проводити професійну гігієну не рідше одного разу на 6 місяців. Але бувають клінічні стани, при яких проведення процедури потрібне частіше — раз на 3–4 місяці.

Небажані будь-які стоматологічні втручання (крім профгігієни) у першому та третьому триместрах: у першому — закладаються всі органи та системи дитини, у третьому — будь-які подразники небажані. Можна у другому триместрі (приблизно 14–20 тиждень), коли всі системи малюка поступово розвиваються.

Золоте правило стоматології дитячого віку – необхідно відвідувати дитячого стоматолога 1 раз на 3 місяці, тобто 4 рази на рік. У такому разі Ваш малюк уникне серйозних проблем із зубками: початковий карієс не встигне торкнутися нерву, лікування буде швидким і абсолютно безболісним.

Це седація – комплекс заходів, спрямованих на заспокоєння та розслаблення пацієнта. Саме лікування при цьому все одно проходить під місцевою анестезією. Пацієнт засинає, і прийом стоматолога для нього проходить швидко та безболісно. Крім того, седація не блокує життєво важливі рефлекси, такі як ковтання та кашель.

Адреси клінік

Виберіть зручну Вам стоматологію

метро Осокорки
Са-Ната Осокорки Київ, Дніпровська набережна, 15-К
Стоматология Са-Ната на Осокорках
метро Лук'янівська
Стоматологія на Лук'янівці Київ, вул. Дмитрівська, 75
метро Вокзальна
Стоматологія на Солом'янці Київ, вул. В. Липківського 37В
This site is registered on wpml.org as a development site. Switch to a production site key to remove this banner.