Pediatric Prosthetics

Need a Consultation?

The specialists at the Sa-Nata clinic know how to find an approach to every child!

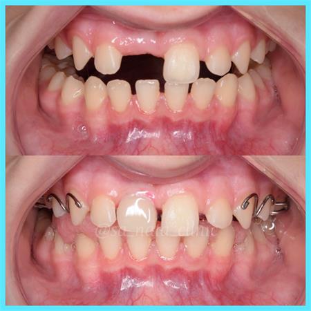
Dental prosthetics are not just for adults. Sometimes young patients also need pediatric prosthetics for baby teeth to ensure a full and healthy life.

The absence of even a baby tooth must be compensated for, as its loss can lead to a number of developmental issues in the body:

  • bone tissue loss occurs in the area of the missing teeth;

  • neighboring teeth shift toward the empty space;

  • the function of chewing muscles and gum stability decreases;

  • loss of front teeth leads to speech articulation problems and facial aesthetic distortion.

детское протезирование

Our doctors know exactly how to prevent such a complex chain of complications!

Pediatric dental prosthetics (removable orthodontic plates with artificial teeth) are an effective method for preventing dental and jaw anomalies and deformities. They promote proper jaw growth and development, normalize chewing, breathing, and speech functions, and provide a pleasant aesthetic appearance!

If you are still wondering whether your child needs dental prosthetics — contact our specialists for a professional consultation!

Pediatric Prosthetics — Guaranteed Results

Aesthetic dentistry is very pleased to welcome you to our website. Sa-Nata is a brand that combines excellent quality, innovative methods, creativity, and an individual approach to every client.

If you need vector therapy performed reliably and professionally for accurate diagnosis — which directly impacts the success of your treatment — then you’ve come to the right place.

For 11 years, Sa-Nata specialists have been creating healthy smiles all around the world, both literally and figuratively. Only with us will you find the best prices for braces in Kyiv — and that’s just the beginning of our exciting offers.

Our professional experience, unique skills, and innovative equipment enable us to provide top-quality therapeutic dentistry services. We believe that a smile can change the world, and we are ready to help you achieve yours.

Do you need an orthodontist in pediatric dentistry? We will be delighted to welcome you to our clinic!

Pediatric Prosthetics — Innovative Treatment Methods

The philosophy of our company is love for people and effective treatment. We would like to offer you a panoramic X-ray of your teeth, guaranteeing complete comfort and a natural-looking smile. With our own digital dental laboratory and the use of advanced computer technologies, we create high-quality orthopedic constructions just for you!

Dreaming of a perfectly even smile? Want to know how much professional teeth cleaning costs? We’ll be happy to provide a consultation!

Do you have gum swelling? Come visit us — with our modern technologies and the expertise of our team, you won’t experience any discomfort. We also offer a fluoride treatment procedure at a surprisingly affordable price.

Looking for wisdom tooth removal in Kyiv? Our experienced implant specialists perform all procedures according to the latest international standards and will offer you a wide selection of top-quality implants.

We’ll be happy to see you at our Sa-Nata dental clinics in Kyiv — schedule your appointment and experience exceptional care!

Pediatric Prosthetics — Guaranteed Results

Aesthetic dentistry is very pleased to welcome you to our website. Sa-Nata is a brand that combines excellent quality, innovative methods, creativity, and an individual approach to every client.

If you need vector therapy performed reliably and professionally to establish an accurate diagnosis — which directly affects the success of your treatment — then you’ve come to the right place.

For 11 years, Sa-Nata specialists have been creating healthy smiles all around the world, both literally and figuratively. Only here will you find braces prices in Kyiv that you’ll definitely love — and that’s just the beginning of our exciting offers.

Our professional experience, unique skills, and innovative equipment enable us to provide exceptional therapeutic dentistry services. We believe that a smile can change the world, and we are ready to help you achieve yours.

Do you need an orthodontist in pediatric dentistry? We will be happy to welcome you to our clinic!

Pediatric Prosthetics — Innovative Treatment Methods

The philosophy of our company is love for people and effective treatment. We would like to offer you a TRG (teleradiographic) dental scan, guaranteeing complete comfort and the natural appearance of your smile. With our own digital dental laboratory and advanced computer technologies, we create high-quality orthopedic constructions just for you!

Dreaming of a perfectly even smile? Want to know how much professional teeth cleaning costs? We’ll be happy to provide you with a consultation!

Do you have gum swelling? Visit us — with our new technologies and the expertise of our team, you’ll feel no discomfort. We also offer a fluoride treatment procedure at a surprisingly affordable price.

Looking for wisdom tooth extraction in Kyiv? Our experienced implant specialists perform all procedures according to the latest international standards and offer you a wide selection of top-quality implants.

We’ll be happy to see you at our Sa-Nata dental clinics in Kyiv — come for your appointment at our wonderful clinic!

Our Advantages

Why Clients Choose Us

Автоклав для дезинфекции стоматологических инструментов
01
High Safety of Appointments
At Sa‑Nata, we use autoclaves from three brands: Melag, Anthos, and Castellini. This is the most modern and professional sterilization equipment, fully compliant with international standards.
02
Comprehensive Personalized Approach
A comprehensive approach allows for more accurate diagnosis of the problem and selection of the most effective treatment methods.
03
Innovative Equipment
All our clinics are equipped with modern devices and the latest treatment equipment, enabling our specialists to work as efficiently as possible.
04
High-Quality Detailed Diagnostics
The Sa‑Nata clinic network is equipped with the most modern and safe X-ray equipment, providing a very clear and detailed view of the patient’s clinical case.
Image

Our Clients' Reviews

Wonderful doctor Bohdan Ivanovych performed a dental cleaning carefully and thoroughly ? The recommendations were helpful, and I will definitely follow them. The administrators are attentive and polite girls who answered all my questions and helped me find a convenient appointment time ? Highly recommend.

23.06.2025
Dmytro K.
I had my teeth treated by Roman — not just a dentist, but a true artist. After the treatment, it’s hard to tell which tooth was worked on — it looks completely natural! My whole family has been treated by him!
02.06.2025
Yakubyna Tetiana
We would like to thank pediatric dentist Valeria Kholodniak — our child really enjoyed the visit! Wonderful clinic, thank you for being there for us.
27.03.2025
Ushakova Olena
I would like to express my gratitude here! Denys is truly a doctor sent from above! Many thanks to all the doctors and the reception girls for their high level of service, quality, and care for patients! You are the best!
25.03.2025
Timchenko Ruslan
The clinic is equipped with modern technology and has qualified staff. Dr. Bohdan Kosyk provided high-quality treatment for a problematic tooth. Public medical institutions do not have equipment like that of the “SA-NATA” clinic and therefore cannot perform operations of such complexity.
08.03.2025
Yevhen
Huge thanks to surgeon Karina Ilinykh! I had my wisdom tooth removed, and I’m absolutely impressed by her — a unique combination of soft and hard skills. She’s a wonderful professional who maintained real communication even during the procedure: found an individual approach, added anesthesia exactly when needed, and the result is simply incredible! I’m truly grateful to fate for ending up with this doctor!
07.01.2025
Shkvarok Anastasiia
I was pleased with the treatment.
23.11.2024
Maliuzhenko Mykhailo
I liked the clinic — high-quality services and attentive care for patients.
11.11.2024
Ihor
Surgeon David Mandzhavidze is a true professional! He performed a very complex extraction for me and did it with excellent quality. It’s also important that he stayed in touch with me when I had questions after the surgery. I really appreciated his attitude and the quality of his work. Highly recommend!
03.11.2024
Hasai H. O.
Price = Quality. Good administration and doctors, everything is fast and hassle-free.
18.09.2024
Moroslyp Oleksandr
It’s a pleasure to visit this dental clinic: the staff is very polite, the atmosphere is pleasant, and the offices are comfortable. I express my sincere gratitude to the staff for their attention and professionalism.
14.08.2024
Kryschenko Myroslava
I had a consultation with periodontist D.D. Holubets. I am satisfied with the consultation and recommend the doctor. Very grateful.
05.03.2024
Pyshevets Oksana
This dental clinic I chose impresses not only with its modern equipment but also with the high qualifications of its staff. The doctors approach each case professionally and attentively, always ready to answer any questions and ensure patient comfort. Their expertise and care made the dental visit pleasant and safe. I am very satisfied with the results and the professionalism of the entire team!
06.02.2024
Verbik Nadiia
I want to express my boundless gratitude to Dr. Bohdan Kosyk. He is a true professional, approaches his work responsibly, explains the treatment process, and justifies the necessity of each procedure. During appointments, he is always polite and composed, and he even takes on complex cases, which is very reassuring. In short, I was pleased — even though I used to be afraid of visiting the dentist before Dr. Bohdan Kosyk.
11.01.2024
Yanchuk Ihor
During our visit to the dental clinic in Pozniaky, we received high-quality service, highly qualified doctors, polite staff, and a pleasant atmosphere. We came with our child — after the treatment, the child remained calm, everything went well. We will return if needed in the future.
26.11.2023
Fedchuk Anna
After visiting the clinic at 75 Dmytrivska Street, I was left with a very positive impression: qualified doctors, modern equipment, attentive and courteous patient care, a friendly atmosphere, and a beautiful interior that deserves respect and the highest praise. I wish the team continued success in their work!
03.11.2023
Rimma
I have an annual check-up and dental cleaning, but the cleaning with Maryna Kozhokaru is also a full professional consultation. Thank you for your professionalism.
25.08.2023
Iryna
I want to thank pediatric orthodontist Serhii Bayrachenko for his attentive and professional care. During the appointment, another therapeutic issue with my child’s tooth was discovered. Serhii invited pediatric dentist Valeriia Ilyushchenko, who carefully examined and successfully resolved the problem. The tooth had to be removed, and Valeriia did it professionally, calmly, and painlessly. My son was very anxious but left the office relieved and happy. It was also my son’s birthday that day. The team congratulated him, gave a gift, and offered a discount in honor of his birthday. The result — the problem was quickly and efficiently resolved, the parents and child were in a good mood, and the child has pleasant memories of the visit! This is important for future dental visits. The reception girls were polite and attentive. Many thanks to the entire team!
25.08.2023
Vershynina Olena
I want to thank Dr. Karina Ilinykh for her high professionalism, sensitivity, and attentiveness. After the dental cleaning, I was left with the best possible impressions from both the result and the process itself. I sincerely express my gratitude to the doctor and the clinic for their impeccable selection of professionals!
24.08.2023
Boiko Oksana
It was my first visit to the clinic, and I was completely satisfied with everything. From the administration, represented by pleasant girls who warmly welcomed me at the entrance, to the doctor, who created the most comfortable atmosphere for me in the dental chair. Dr. Liubov Yuriyivna provided a complete and thorough consultation about the condition of my teeth, performed a professional cleaning, and immediately treated one of my teeth — with clear explanations and photo reports. This is the kind of experience that makes you want to return to the dentist again and again. Overall, the quality of dental services is high, so I highly recommend the clinic and Dr. Liubov Yuriyivna to everyone.
12.07.2023
Oleksandr
I want to express my gratitude for restoring my smile! Denys is truly a doctor sent from above! Thank you to all the doctors and the reception girls for the high level of service, quality, and care for patients! I have been with you since 2015!!! You are the best!
14.06.2023
Maria
Many thanks to Yurii Kyrylenko, a true professional — the tooth extraction was painless and very quick.
01.06.2023
Zolotoruchko Valeriia
The clinic has a wonderful atmosphere and friendly staff. If you come with children, there’s no need to worry — they will be looked after and entertained. Thanks to the girls. Many thanks to Serhii Dubichenko for his work, though our treatment is still in progress ?.
30.05.2023
Nataliia
I had a general cleaning. The doctor — N.Muzyka. I really liked it.
23.05.2023
Tolstohuzov Oleksandr
The clinic is at a proper professional level. I was treated for cavities; Dr. Liubov Yuriyivna provided a thorough consultation and began treatment the same day. Everything was fast and painless. The doctor is very attentive and meticulous in her work, which is truly reassuring. Highly recommend!
01.05.2023
Borys
I was impressed by the professional work of the doctors and administrators. I had tartar removal and a dental cleaning. Dr. Vladyslav has very gentle hands and performed everything with high quality and painlessly. I truly enjoyed the procedure. I highly recommend having your teeth cleaned by Dr. Vladyslav. Thank you for the friendly attitude and responsible approach to your work.
06.04.2023
Kulyk Olena
I express my gratitude to the doctors who dedicate their knowledge to their work to achieve excellent results and professional growth — truly gifted doctors: Maryna Kozhokaru, Oleksandr Kravchuk, as well as their assistants and reception staff who reminded me of upcoming appointments. Praise for your coordinated work under the leadership of the chief administrators of the “SA-NATA” clinic and your individualized approach to each client.
26.03.2023
Luhova Olha
In 2022–2023, I underwent root canal treatment followed by the placement of zirconia crowns on two teeth. I want to thank Denys Revenok and Myroslava Hrabar for their high professionalism, care, patience, and individualized approach. I appreciated the convenient location of the clinics at different addresses and the attentive staff. The dental prosthetics procedure was easy, fast, and of high quality. I highly recommend the “Sa-Nata” clinic and its wonderful doctors!
16.03.2023
Shyshman Olha
The clinic is very modern, the staff is friendly, and the doctors are true professionals! During the appointment, I felt no discomfort — Dr. Bohdan did everything quickly and efficiently!?
06.03.2023
Bohdanova Alexandra
I am sincerely grateful for the conscientious work, professionalism, and kindness of surgeon Serhii Dubichenko and prosthodontist Liubomyr Nechai. Wonderful, excellent doctors!
26.02.2023
Moskalenko Nataliia
Wonderful dental clinic, excellent doctors, and the procedures are completely painless. Thank you?.
22.01.2023
Kozakova Daria
I had a dental cleaning at 75 Dmytrivska Street. I really liked everything. Dr. Maksym conducted the procedure quickly and painlessly and also provided recommendations for further treatment. The clinic is very comfortable — highly recommend.
15.01.2023
Shatalova Iryna
I want to thank gnathologist Andrii Stepanovych. Thanks to his professionalism, positive attitude, and confidence in solving the problem, we finally have a “light at the end of the tunnel” after many years. Wishing prosperity to the clinic that employs such specialists, and thank you for your work during these challenging times!
02.12.2022
Panasiuk Yuliia
I want to express my immense gratitude to Dr. Elena Havrylova, a truly gifted doctor, who quickly and efficiently treated my problematic tooth that had been causing me great concern. She is attentive, careful, provides tremendous psychological support to the patient, and performs everything precisely and swiftly. I came in just to treat one tooth, but she inspired and encouraged me so much that I immediately had my wisdom teeth removed as well, which were already in very poor condition. I highly recommend the “Sa-Nata” clinic and Dr. Elena Havrylova, especially to those who are afraid or delaying treatment!
11.11.2022
Nadiia Kasian
On November 1, 2022, we visited the clinic on Chavdara Street. We were warmly welcomed by the administrators. We needed a consultation with a pediatric orthodontist for our 3-year-old child. We feel very fortunate to have seen Dr. Angelika Vladimirovna. She found such an approach to the child that after interacting with her, the little one opened his mouth and allowed the examination — this was very important. After the check-up, the doctor provided thorough answers to all our questions and promised to additionally consult with her colleagues. On November 2, 2022, the doctor was unable to reach us by phone and sent a voice message via Viber, in which everything was explained to the parents in such detail that no questions remained. Many thanks for the care.
04.11.2022
Mykytenko Iryna
Denys Revenok is simply the best — he did his work perfectly, and now I can smile without worrying about anyone seeing a gap instead of a tooth. All the doctors I’ve worked with are wonderful, but Revenok added an extra dose of positive emotions that will last for a long time.
07.10.2022
Tren Viktoriia
Very grateful for the help; I liked the approach to treatment — everything was fast and professional. From now on, I’ll only come to you!
03.10.2022
Oleksandr
I sincerely thank Maryna Kozhokaru for her highly professional work in providing dental services. She is a doctor who puts her heart into her work! Many thanks to you, and may God grant you health and happiness!
10.09.2022
Skuliat V. E.
I want to leave a positive review for Dr. Myroslava Volodymyrivna. A true professional! Everything was fast and high-quality!
04.09.2022
Orlov Roman
Excellent service. The surgeons and therapist are true professionals; everything is polite, fast, and high-quality! I recommend the clinic.
08.08.2022
Victor
The clinic is top-notch, using the latest advanced technologies, employed by its doctors. The staff is very friendly, creating a sense of reliability; all doctors are qualified and approach each patient with individual responsibility. I constantly felt that I was in reliable hands. During my first visit, anesthesia was painless thanks to modern medications. The clinic even welcomed foreign patients coming from America for treatment. Prices are reasonable — I confidently recommend it.
11.07.2022
Ivanova Nataliia
I had a consultation with gnathologist Zhelezko and orthodontist Terno. They clearly explained the entire situation related to my bite. I was pleased with the comprehensive approach and thorough diagnostics, and I got a complete picture of my current condition. If I plan further treatment, I will definitely turn to the “Sa-Nata” clinic.
01.07.2022
Vyshnevetska Viktoriia
Boundless gratitude for the professional work and courteous reception provided by the administrators, doctors, and their assistants at the Chavdara clinic, namely: Daria Zdanсhuk — a truly gifted dentist. I stopped being afraid of all these procedures, and now I have healthy teeth. Thank you for your professionalism and care. Daria Dmytrivna — the periodontist. She performed the cleaning and curettage painlessly, and my teeth became super smooth and beautiful. Thank you! Overall, I am very pleased that I turned to the Chavdara clinic. Highly recommend.
23.06.2022
Lebediuk Iryna
I want to express my immense gratitude to Dr. Olha Deieva, who treats teeth very professionally and possesses positive energy and politeness. I also want to sincerely thank surgeon Vladyslav Koasnovid, who, you could say, saved me — he performed the very complex removal of two teeth in an inflammatory process at the highest level: precise, careful, and professional. The stitches were removed, and everything is healing well. I am grateful to the people who are truly in their element. I highly recommend the “Sa-Nata” clinic. Wishing you robust health!
10.05.2022
Ihnatchenko Olena
I want to sincerely thank the “Sa-Nata” clinic at 11 Chavdara Street, especially Dr. Vladyslav, for doing his job so well. The removal of my wisdom tooth (which was damaged and painful) was quick and painless. The anesthesia is wearing off, and I feel good ;) Thank you very much!
26.04.2022
Korytska Nataliia
Thank you so much for the polite and warm reception. You really helped me with my problem, which had been preventing me from eating properly and sleeping at night.
07.04.2022
Lashchenko O.S.
Many thanks to the entire team at the SA-NATA clinic for the warm welcome, and a special thanks to Dr. Serhii Dubichenko for the most pleasant visit to the dentist. Huge gratitude to everyone!!!!
01.04.2022
Yevteiev Ivan
I had a dental cleaning and am satisfied with the result. They explained in detail how to clean my teeth properly and effectively. I recommend it! I will continue to come to this dental clinic in the future.
18.02.2022
Korchyk Artem
I was treated by Maryna Kozhokaru and really liked it — everything was excellent, and my tooth hasn’t bothered me for 3 years. I appreciated the approach, professionalism, and integrity! Thank you!
01.02.2022
Kostynian Nadiia
Many thanks to the clinic for the quick appointment, excellent service, and fast, high-quality treatment.
27.01.2022
Voitenko Diana
I am satisfied with the service; the staff is wonderful and highly qualified.
27.01.2022
Zhadan Anna
I had a dental cleaning; everything went well, fairly quickly, with a polite doctor.
21.01.2022
Kovalska Yana
The doctor performed a tooth extraction. The procedure was painless. The doctors are responsive and polite. After the extraction, they provided guidance on dental care. I am grateful for their work.
21.01.2022
Pashkovska Oksana
The dental clinic is excellent. I recommend Dr. Khrystyna Masiuk — she does everything aesthetically and carefully.
17.01.2022
Broian Davatі Oseiovych
Wonderful doctor Bohdan did my dental cleaning carefully and thoroughly?. The recommendations were helpful, and I will definitely follow them. The administrators are attentive and polite girls who answered all my questions and helped me find a convenient appointment time?. Highly recommend.
16.01.2022
Solohub Yana
I trusted this clinic and was not disappointed. I really appreciated the treatment under the microscope. Dr. Liubomyr Rostyslavovych, a true professional, successfully performed root canal retreatment and treated a granuloma. Thanks to this clinic, I preserved my natural teeth, got several crowns, and corrected my bite with a dental splint. I come to appointments feeling like it’s a celebration. After visiting the clinic, you just want to smile! I definitely recommend it. Cleanliness, precision, and transparency in everything. HUGE THANKS to all the staff — YOU ARE THE BEST!!! Treatment continues.
10.01.2022
Bondarenko Larysa
I was impressed by the professional work of the doctors and administrators. I recommend this clinic for dental treatment to everyone. I am satisfied with my dental care!
09.01.2022
Moroz Artem
Everything is excellent! Good doctors and staff.
02.01.2022
Valeriia
Excellent clinic! Many thanks to Dr. Olha Deieva for her attention and care!!!
29.12.2021
Sofiishchenko Kateryna
The procedure went well. The doctor explained everything. I am satisfied with the appointment.
29.12.2021
Vyushkova Anastasiia
I had a cleaning at the clinic in Lukianivka and also had a tooth extracted by Dr. Andrii Andrusyk. Both procedures went excellently, and the extraction was also quick. Thanks to you, I might finally stop being afraid of dentists)
24.12.2021
Zhilina Alena
Everything was great? — I really liked the clinic and the staff. Everything is top-notch, from the equipment to the doctors. ?Highly recommend.
23.12.2021
Bilytskyi Andrii
Excellent clinic! A team of professional doctors. Special thanks for the dedicated and meticulous work of Marharyta Kravets. Highly recommend!
20.12.2021
Yuliia
At the moment, my spouse and I are undergoing preventive dental treatment at Sa‑Nata Dentistry. I must admit, we are pleasantly surprised — the professionalism of the doctors is at a very high level — everything is done efficiently and painlessly. Painless to such an extent that during my last visit, I even dozed off several times right in the chair while having four root canals treated. Moreover, the service prices are very pleasing — roughly average for Kyiv (around 1,000 UAH per tooth). I definitely recommend Sa‑Nata Dentistry for preventive care and treatment of dental issues. Wishing everyone healthy and beautiful smiles! ;)
19.12.2021
Dmitry Kalyukh
Excellent clinic. Huge thanks to the staff working there. I go there confidently, not for the first time.
19.12.2021
Elena Kharchervnikova
First time at this clinic, thrilled with the doctors! Impeccable, comfortable, and simply perfect! I recommend it to everyone!!! I really enjoyed it!!!
18.12.2021
Irina Pelekh
Great clinic, Dr. Kateryna Hnatyuk is very attentive and precise, performed the cleaning painlessly, and I felt comfortable. The clinic is top‑level, highly recommended.
14.12.2021
Vita Pupach
Today we had a cleaning at this clinic, really liked everything)) The doctors are professionals, everything is top‑notch. Highly recommended?.
10.12.2021
Viola Kornilova
Had a tooth extracted by Sergey Igorevich, everything was top‑notch, time flew by unnoticed, everything was great :) If you need an extraction — he’s definitely the one to go to.
09.12.2021
Asya Usoltseva
Very satisfied with the service! Everything was fast and high‑quality ❤️. Thank you.
09.12.2021
Roksolana Ustinenko
Today I had a cleaning at this clinic, really liked everything. Dr. Natalya Vasylivna is a professional, thank you :) Highly recommended ?.
07.12.2021
Natalya Kiryakova
I thank the clinic staff and administrators for their attentive care towards patients.
05.12.2021
A.S. Nuftullaeva
We visited Dr. Gyuli with my nephews at another clinic, and for the first time, the children didn’t cry at the dentist! We will definitely come to her on our next visit!
05.12.2021
Iman Sardalova
A professional clinic with highly qualified staff. From the friendly welcome at the reception to the delicate care of the doctors — that’s the atmosphere at Sa‑Nata. As for treatment — everything is planned step by step, carefully monitored, and done professionally using the latest equipment. Our whole family receives treatment here, and we recommend it to friends. For dental care — only at Sa‑Nata.
04.12.2021
Tatyana Brushko
Many thanks for the treatment, a very good clinic, highly recommended.
04.12.2021
Marina Berestovets
On 02.12.2021, therapist Dr. Natalya Petryk performed a dental cleaning. She carried out the work professionally and at a high level. Very attentive to the patient. Completely satisfied with the visit to the Sa‑Nata clinic. Highly recommended.
02.12.2021
Mykola Havrysh
The clinic is worth attention. I recommend Lyubomyr Nechai and Vasyl Makarchuk.
30.11.2021
Horodetska
Attentive, responsive doctors, many thanks to them. Also, wonderful staff. Highly recommended.
28.11.2021
Irina Lohvynenko
Caring, attentive doctors. Excellent client service from the staff. Highly recommended.
28.11.2021
Irina Lohvynenko
Today at this clinic, I had a dental cleaning performed by Dr. Amalia Basamovna. The procedure was done quickly and efficiently, the doctor immediately made me feel comfortable, explained everything in detail, and answered all my questions. I am very satisfied with the cleaning. I consider Dr. Amalia Basamovna’s work to be of the highest level. I will recommend your clinic to my friends and acquaintances.
27.11.2021
O.V. Ilyukhina
I liked the approach and the clinic overall. Thank you to Myroslava Volodymyrivna for the consultation.
23.11.2021
Svetlana Kryvuta
I’ll start with the main point! Every time I try to convince myself to go to the dentist, I only manage to agree to go when a tooth starts hurting and there’s no other way… The reason — not very much experience, I’m 33 years old and have been to different doctors in various clinics. What I liked: 1 probably the most important!!! The amazing approach of the doctors. The doctor is first and foremost a super‑specialist, as it turned out, and very importantly for me — an incredible psychologist! You truly feel an individual (not just in words, but in practice) approach to the client; I experienced exactly that. I felt attention and care; the doctors provide you with maximum comfort, attention that relaxes and allows you to “exhale,” not sit on pins and needles, and not be stressed during the delicate work :) 2 Quality of work — feels like it will last for many years. The tooth was not lost, even though other doctors (two) had given a negative prognosis… 3 Tools: all the necessary equipment is right there, the doctor immediately evaluates the results of their work using a 3D model on the computer. No need to run anywhere; everything is “at hand.” The equipment looks new and pleasing to the eye, obviously very expensive. RESULT: *The only clinic where I now go without fear and with the understanding that my teeth will be treated as well as possible. *Yes, prices are not low; I would say high for me. But there is a “BUT,” and it laid the foundation for continuing treatment here. a) — in my case, the tooth was saved — if not, hello implant, which is a completely different story in terms of money and time… b) — in my case, the canals (as the scan showed) were done well, but due to lack of equipment, not fully worked through; because of this, the story about me — nerves were lost and part of the tooth became “dead” as a result. I will have to redo the work of previous doctors — money again, time again… Clearly, in the long run, it’s not effective and it’s better to do it perfectly once than to redo “good” work from other doctors. A miser pays twice! Don’t repeat my mistakes. I definitely and unconditionally recommend you come to SA‑NATA and start treatment here!!! Believe me, after the first visit, you simply won’t be able or want to go to any other clinic or look for other doctors.
23.11.2021
Oleksandr Naumenko
The clinic is amazing, really liked everything!! It stands out from others with modern equipment, a pleasant atmosphere, and friendly staff! Highly recommend it to others))
22.11.2021
Dariya Tsymbalyuk
Excellent surgeon. Removed a wisdom tooth. Everything was great. Highly recommended.
21.11.2021
Elena Hrynenko
Highly recommend!! Children aged 7 and 11 are not afraid of the dentist thanks to true professionals. There are always small gifts for the kids)))
20.11.2021
Irina Buntush
I had a hygienic cleaning today, really liked everything. The doctor provided a detailed consultation, and I plan to continue treatment at this clinic! Highly recommended!
20.11.2021
Katarina Parkhomik
Excellent clinic, great staff, highly recommended.
20.11.2021
Vlad
A clinic with true European‑level service. The doctors and administrators are real masters of their craft.
19.11.2021
Oleh Saiko
I visited the clinic for the first time today, based on a friend’s recommendation, and really liked everything?. Had laser whitening — very satisfied with the result. Highly recommended.
18.11.2021
Anastasiya Bohdanyuk
Very grateful to Dr. Marianna for the cleaning and detailed consultation of a complex tooth, for her professionalism and calmness.
17.11.2021
Lana Volkova
High-quality service. The pediatric doctor, Gyultaj Kyazimli Avezkizi, is very good. The child reported being very satisfied!
17.11.2021
Oksana Titova
Treatment at a high level. The specialists provide good consultations. Excellent client care.
14.11.2021
Nataliya Saiko
Excellent clinic, good specialists) It’s nice that they care about their clients)
13.11.2021
Dmytro Bolharin
Professional doctors, excellent service, polite staff. Thanks to Sa‑Nata, I stopped being afraid of dentists)
13.11.2021
Darya Kashpruk
You are true professionals! You approach any problem with ease and willingness, and resolve it with the same comfort :) Thank you ❤️.
11.11.2021
Anna Vlasyk
A good, clean clinic with modern equipment! It was my first visit, had a tooth extracted. I was very scared, but Sergey Dubichenko did everything wonderfully, huge thanks to him! The only downside — the administrator didn’t inform me that after 9 PM there is an extra 300 UAH charge for the appointment. Overall, everything is great, thank you!
09.11.2021
Iryna Pustovhar
Very satisfied with the professionalism of the doctors.
08.11.2021
Inna Lushchyk
Thank you to Dr. Kateryna Anatoliyivna for her sensitive approach to work and very gentle attention to the patient; the session went very calmly and pleasantly.
08.11.2021
Olha Kostyrska
Visited the doctor today for cavity treatment. Liked everything, the clinic is top‑notch. Highly recommended.
07.11.2021
Daniil Levshenko
Wonderful staff, true masters of their craft. They treat quickly, efficiently, and painlessly.
07.11.2021
Semen Kanatsuy
FAQ

Answers to Our Clients’ Frequently Asked Questions

Не нашли ответ на нужный вопрос?
Задайте его нашему специалисту в удобной для Вас форме

For healthy adults, it is recommended to have a dental check-up at least once a year. If a person has even minor gum or tooth issues, the interval between visits should be shorter — in this case, visits should occur every six months.

It is recommended to have professional dental cleaning at least once every 6 months. However, certain clinical conditions may require the procedure more frequently — every 3–4 months.

Any dental procedures (except professional cleaning) are not recommended during the first and third trimesters: in the first trimester, all the baby’s organs and systems are forming, and in the third trimester, any irritants are undesirable. Dental treatment is generally safe during the second trimester (around weeks 14–20), when the baby’s systems are developing steadily.

The golden rule of pediatric dentistry is that children should visit the dentist once every 3 months, that is, 4 times a year. This way, your child can avoid major dental problems: early-stage cavities won’t reach the nerve, and treatment will be quick and completely painless.

This is sedation — a set of measures aimed at calming and relaxing the patient. The treatment itself is still performed under local anesthesia. The patient falls asleep, and the dental procedure is quick and painless for them. Additionally, sedation does not block vital reflexes such as swallowing and coughing.

Clinic Addresses

Choose the Dental Clinic Convenient for You

This site is registered on wpml.org as a development site. Switch to a production site key to remove this banner.