Category: Periodontology

Gum recession

рецессия десны.
Share
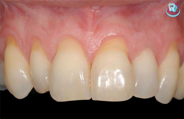
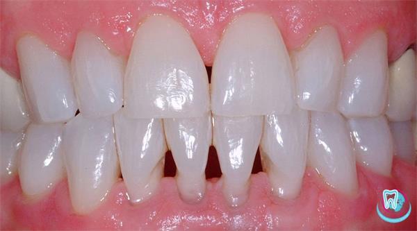
How aware are you that it is necessary to take care not only of your teeth, but also of the health of your gums? Unfortunately, there are many different periodontal diseases, but fortunately, the Sa-Nata clinic network knows how to professionally and competently cope with various ailments. One of the most common diseases is gum recession. Gingival recession is a pathological process that is characterized by a deficiency of gum tissue, which, in turn, provokes the exposure of the tooth root. This disease can occur in both adults and children. A recession can extend to one tooth or several. It is important to note that this pathological change may not be noticeable, since at the initial stages it does not cause any pain. It is important not to miss the moment here, but for this, regular visits to the dentist for check-ups once every six months should become a system habit. The exposure of the root of the tooth that recession leads to creates not only aesthetic problems, but also medical consequences. The fact is that when the root of the tooth is exposed, it is very actively affected by caries, since it does not have a protective layer. This process is dangerous with the risk of tooth loss in the future.

Causes of gum recession:

рецессия десны
    • Incorrect brushing of teeth with aggressive movements. As a result of using a toothbrush of inadequate rigidity and excessive pressure on the brush when brushing your teeth, the gums are injured. Pay attention to the appearance of your toothbrush: if its bristles look in different directions, this means that it is deformed and you should master the correct technique for brushing your teeth at home. Our hygienists and periodontists will teach you proper home hygiene, which will significantly shorten further visits and prevent the occurrence of diseases. (*link to the article “hygiene lesson”, “how to brush your teeth properly”).
    • Thin gum biotype. This is an anatomical feature, which is characterized by the lack of sufficient thickness of the gingival tissue. With this individual feature, there are elongated and thin “papillae” between the teeth, a significantly flat gingival surface and a noticeable reduced volume of gingival tissue. In such a situation, enhanced control and attention to the condition of the teeth is needed, since a neglected situation in the presence of a thin gum biotype can lead to forced orthodontic and implant treatment.
рецессия десны
    • Small vestibule of the oral cavity. The bottom line is that in such a situation, an unnatural tension of the gingival margin of the front teeth occurs, which is accompanied by a displacement of the gums with further exposure of the tooth root. This vestibular position can inevitably lead to gum recession. The small vestibule of the oral cavity, according to generalized statistics, occurs in 20-25% of patients. This issue can be resolved with the use of vestibuloplasty.
    • Periodontitis. In the presence of inflammatory processes in the gums, there is a gradual resorption of the periodontal tissues that surround the tooth. This leads to a decrease in gum tissue and, accordingly, exposure of the tooth root. In periodontitis, recession is considered complex. The fact is that restoring the missing volume of the gums, while fully closing the exposed root, is almost impossible. Therefore, it is so important not to start the situation and do everything to detect such moments even in their early stages of development.
рецессия десны
    • Malocclusion. Problems with malocclusion often lead to pathological changes in the gingival margin. This occurs as a result of excessive load in the process of chewing or closing the teeth, which, in turn, further leads to a weakening of the tissues of the supporting apparatus. In addition to this, the gum tissues become thinner. In addition, a tooth root that protrudes unnecessarily from the dentition also leads to receding gums. Bruxism. Grinding of teeth also puts an excessive load on the periodontium, injures it and can lead to recession.
    • Poor quality oral hygiene. As a result of poor-quality and irregular brushing of teeth, plaque accumulates, hardens and turns into tartar. This leads to the active development of caries. Also, in order to prevent such dental deposits, the specialists of the SA-NATA clinic network strongly recommend timely professional hygiene every 3-6 months in the dentist’s chair and this will be an excellent solution to prevent and avoid the occurrence of a recession.
рецессия десны
    • Bad habits. Piercing, pencil chewing or biting, sucking on a ballpoint pen during a telephone conversation, biting threads, opening tubes and other containers with your teeth, and so on. If there is a lip or tongue piercing, metal jewelry constantly touches the gingival margin and regularly injures it, which can lead to root exposure. Smoking is also included in this list, as it adversely affects periodontal health. Generalized statistics show that it is smokers who often have gum recession.
    • The “Popov-Godon” phenomenon is a process of deformation of the position of the dentition as a result of the loss of a tooth and its long absence in the jaw. Under such circumstances, the teeth may gradually change their position in the row towards the antagonist tooth (which has been lost or removed). Such dynamics of the tooth in dentistry is also called “dento-alveolar elongation of the tooth”, as a result of which the tooth root is gradually exposed. This phenomenon occurs due to the fact that the jaw physiologically begins to adapt based on new conditions and the teeth gradually try to fill the gap that has appeared. Therefore, a long absence of teeth in the jaw threatens with similar diseases and more.
    • Illiterate dental treatment. For example, incorrectly installed orthopedic crowns that exert uneven pressure on the gingival margin. It can also be damage during an inaccurate operation on periodontal tissues. Therefore, carefully select specialists who can really be trusted with the health of their teeth.
    • Age-related changes. Unfortunately, with age closer to 35 years, a recession can gradually develop. But you should understand that everything is individual. Genetics can also influence this process. In any case, prevention is the best cure. Based on this, any disease can be prevented and its development can be avoided if you do not forget about control examinations by a specialist.

How to detect gum recession?

рецессия десны
  1. First of all, this disease can be detected by external changes in the level of the gums (visually, the teeth may appear longer than usual).
  2. There may also be certain pain and some discomfort during chewing.
  3. Recession can manifest itself as tooth sensitivity to sudden changes in temperature, including this may be a reaction to sour.
  4. Bleeding gums and bad breath can be a sign of gum recession.
It is important to note: there is the concept of “hidden recession”, which is not outwardly manifested and does not cause pain and discomfort to the patient in the early stages. Based on this, you won’t be able to notice it on your own. Therefore, our experts strongly advise not to neglect preventive examinations and procedures. Indeed, during the examination, the doctor will be able to detect this change in its early stages of development, take measures in time and prevent the advanced state of the disease. And as a result of preventive professional cleaning of teeth, the accumulation of plaque and stone will not lead to such diseases.

How is gum recession treated?

Before treating gum recession, it is necessary to eliminate the cause of their occurrence:
  1. Remove crowded plaque and tartar.
  2. Establish hygiene: choose individual hygiene products for the oral cavity and learn how to properly brush your teeth.
  3. Treat inflammation.
  4. If there are pronounced frenulums and a small vestibule of the cavity, they must be corrected with the help of vestibuloplasty. ⠀
  5. Refer to the orthodontist in case of malocclusion. ⠀
Elimination of gum recession in the “Sa-Nata” network is carried out by several methods (depending on the degree of its complexity).
рецессия десны

Surgical intervention – plastic gums.

The purpose of the manipulation is to fully restore the contour of a healthy gum and close the exposed roots of the teeth. In order to “return the gum to its place”, a dental surgeon or periodontist performs gum plastic surgery, having previously assessed the severity of the recession. Gingivaplasty is a microsurgical flap operation, which is characterized by the transplantation of the patient’s own healthy tissues in order to restore the missing gum area. This micro-operation is a fairly standard procedure and is performed under local anesthesia in one visit. The sooner you turn to a specialist and perform gingival plasty in the early stages of recession development, the more effective the result will be and the less surgical intervention will be applied.

Plasma therapy

рецессия десны
Plasma therapy – stimulation of regenerative processes with the help of their own connective tissue cells. In modern dentistry, the method of regeneration and restoration of soft tissues with the help of plasma injection is successfully used. Human plasma is very rich in regenerating platelets, which are obtained from the patient’s own blood. How is the procedure? First, the required amount of venous blood (9-12 ml) is taken into a sterile tube. Further, magic happens on a special centrifuge: separation of platelet-rich plasma from blood cells within 3 minutes. The resulting plasma is injected into the periodontal tissue in the recession zone under local anesthesia. Thus, active regeneration of periodontal soft tissues occurs, blood supply improves and tissue restoration occurs in problem areas of the gums. Plasma therapy is performed in a course: 3-4 procedures with an interval of a week. This manipulation is absolutely safe, does not cause allergic reactions and effectively helps to avoid bone loss. But there are some contraindications to the use of plasma therapy: pregnancy, the presence of cancer and diabetes.

Recession treatment with hyaluronic acid.

Hyaluronic acid is used not only in cosmetology, but also in modern dentistry. Hyaluronic acid saturates tissue cells with essential nutrients, normalizes the general condition of the gums, has an anti-inflammatory and antibacterial effect, activates cells that produce their natural collagen and elastin. All these magical properties of hyaluronic acid contribute to the restoration of the structure of periodontal tissues. How is this treatment done? Hyaluronic acid is injected into the interdental “papillae” and into the gum in the area of the resulting recession. Also, this injection can be injected into the periodontal pocket, it depends on the severity of the recession. The acid is distributed in periodontal tissues, replenishes the missing volume and restores the gingival contour. Such hyaluronic injections must be done in a course. This method is used for recession 1 and 2 severity. Contact a specialist for an examination in a timely manner to avoid problems in the future.
The network of dental clinics “Sa-Nata” works according to the most modern world treatment protocols, and our integrated approach will inevitably lead to a successful treatment result. The specialists of our team constantly improve their skills and follow the latest innovations and modern trends in treatment methodology. A Sa-Nata professional is the dentist you need and want to entrust the health of your teeth with confidence!
Share

    Subscribe to the Sa‑Nata newsletter and stay updated on current promotions and discounts
    We promise, no spam!)
    Current Promotions
    -7%
    For any service when booking an appointment through the website form
    Online Booking
    Clinic Addresses

    Choose the Dental Clinic Convenient for You

    This site is registered on wpml.org as a development site. Switch to a production site key to remove this banner.