Category: Aesthetic dentistry

Cracks and white spots on teeth

Трещины и белые пятна на зубах
Share

Causes and solutions

Often, when a person feels no pain, the motivation to visit a dentist may be purely aesthetic — due to external imperfections. Dissatisfaction with one’s smile in the mirror can be caused by chips, cracks, and spots on the tooth enamel, as well as changes in color and shade. Today, we will discuss the most common issues — cracks and white spots that appear on teeth.

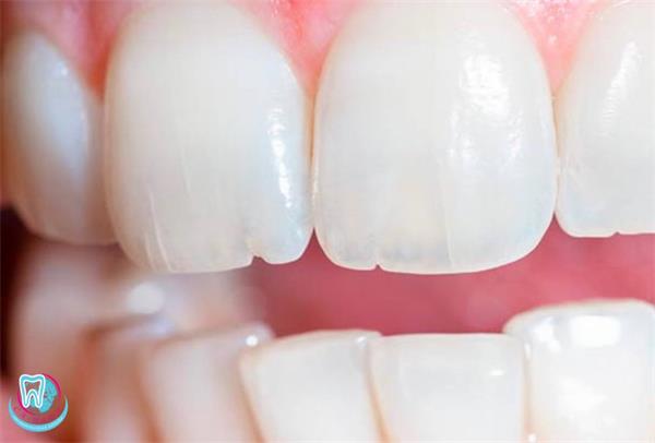
Cracks in the enamel are a common problem faced by more than half of patients. At first, they appear as barely noticeable lines on the teeth, but over time, they can grow and change color. Microcracks in the tooth enamel are small fissures that can form on the tooth surface due to everyday activities such as chewing food, using a toothbrush and toothpaste, as well as due to aging and natural tooth wear.

лечение

Microcracks can be harmless and cause no symptoms; however, in some cases, they may lead to pain and tooth sensitivity when consuming hot, cold, or sweet foods or drinks.

To prevent the development of microcracks, it is recommended to monitor the condition of your teeth, visit the dentist regularly, and maintain overall health, including proper nutrition and oral hygiene. If you notice sensitivity or any changes on the surface of your teeth, it is advisable to see a dentist immediately for diagnosis and treatment.

At an early stage, microcracks can be sealed using a photopolymer varnish or composite restoration, while deep fractures may require the placement of a veneer or crown.

What are the causes of cracks in tooth enamel?

лечение

The main causes include:

  • sudden temperature changes in food;

  • lack of vitamins;

  • tooth injury;

  • prolonged use of whitening toothpastes;

  • caries or periodontitis;

  • chewing stress: increased load on teeth caused by chewing hard food or teeth grinding;

  • dry mouth: lack of saliva can reduce the protective properties of tooth enamel and contribute to the appearance of microcracks.

лечение
    • Aging: over time, teeth can wear down and become more prone to cracks;

    • poor-quality teeth whitening;

    • smoking;

    • incorrect actions of a dentist;

    • improper and unprofessional teeth whitening at home or in unreliable places (if the products or procedures used do not meet safety standards and are not recommended by a dentist).

      Recently, a certain type of in-office teeth whitening performed in shopping centers, beauty salons, and airports has become quite popular and widespread. Such a whitening service is, at best, an unprofessionally performed procedure for you and, at worst, unsafe and harmful to your dental health. Very often, the result of such whitening leads to the formation of cracks in the tooth enamel. Be careful, responsible, and informed.

      Microcracks on teeth generally do not require treatment, as they are not a serious problem for dental health. However, if microcracks cause pain or significantly increase tooth sensitivity, certain procedures may be necessary.

Methods of treating microcracks on teeth include:

лечение

Tooth polishing: this method helps remove small irregularities on the enamel, which can reduce tooth sensitivity and prevent further development of microcracks.
Use of special toothpastes: some fluoride toothpastes can help reduce tooth sensitivity and protect teeth from further damage.
Tooth restoration: in some cases, the dentist may recommend tooth restoration if microcracks are located in areas with fillings or restorations.

Use of a protective overlay: the dentist can apply a protective overlay on the teeth to prevent further development of microcracks and protect the teeth from damage.
Application of a coating on the teeth: your dentist may apply a special protective coating on the tooth surface, which helps reduce sensitivity and prevent further microcrack formation.
Treatment of caries and other diseases: if microcracks are related to caries or other dental diseases, treating these conditions can help prevent their further development.

Prevention of enamel microcracks

лечение

The following measures can help prevent microcracks in tooth enamel:

Regular dental visits: dental check-ups and professional oral hygiene help detect problems with teeth early and prevent their progression.
Avoid hard and sticky foods: limit excessive consumption of hard and sticky foods such as candies, chewing gum, etc., as they can cause mechanical damage to the enamel.
Reduce consumption of acidic drinks and foods: acid can erode tooth enamel, so it is recommended to reduce the intake of acidic products and beverages.
Use fluoride toothpaste: fluoride toothpaste helps strengthen tooth enamel and reduce the risk of developing microcracks.

Use protective mouthguards: during sports or other activities where teeth may be exposed to mechanical damage, it is advisable to use protective mouthguards (trays).
Maintain proper oral hygiene: thorough brushing twice a day, using dental floss and mouthwash helps reduce the risk of microcracks.
Do not overuse whitening products: excessive use of whitening agents can cause dryness and weaken tooth enamel, increasing the risk of microcracks.
Trust the beauty and health of your smile only to trusted, experienced, and professional specialists to avoid complications and problems resulting from improperly performed dental procedures.

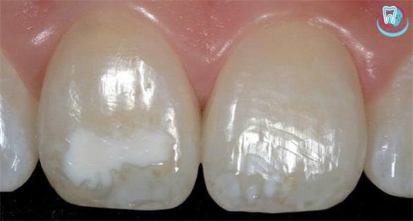
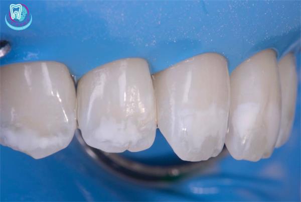
White spots on teeth

лечение

What could this be?

This is one of the most common questions asked in a dentist’s office.

Where did it come from and what should you do?

White spots on teeth are a clear sign that pathological changes are occurring in the oral cavity. White spots can be a symptom of various dental and oral health problems.

Common causes of white spots on teeth:

Demineralization of enamel: this is a process in which minerals are leached out of the tooth enamel, which can lead to the appearance of white spots. It can occur due to acid formation in the mouth, for example, from consuming acidic drinks, or due to insufficient oral hygiene.

Enamel hypoplasia: this is a condition in which the enamel forms incorrectly or incompletely, leading to white or yellowish spots on the teeth. It can be hereditary or related to poor nutrition and inadequate dental care during childhood.

Initial caries: a white spot appears in the area where enamel has begun to weaken and break down under the influence of acids. The cause of the enamel structure change is calcium deficiency and poor or irregular oral hygiene.

лечение
    • Whitening. This refers to unprofessional whitening and overuse of cosmetic procedures, which can lead to the weakening and destruction of enamel.

      Consumption of large amounts of acidic foods. This happens because foods high in acid erode the tooth enamel that protects your teeth from damage. These include products and drinks such as carbonated beverages and citrus fruits like lemons, oranges, and grapefruits.

      Fluorosis. Fluoride strengthens teeth and prevents cavities, but too much fluoride in developing teeth can have the opposite effect, causing decay and discoloration. This can occur when children consume large amounts of fluoridated beverages or swallow fluoride toothpaste.

лечение
    • Dental plaque. White spots on teeth can also form due to the accumulation of bacterial plaque. This is the result of poor oral hygiene.

    • Dental treatment. Some materials used during dental procedures can lead to the appearance of white spots. For example, the use of braces or orthodontic appliances can cause enamel demineralization. It is important that any dental treatment be performed using modern techniques by a skilled and knowledgeable specialist.

    • Insufficient oral hygiene. Inadequate brushing and improper use of dental floss can lead to the buildup of bacteria and acidic substances in the mouth, which can cause enamel demineralization.

    • Diseases. Certain conditions, such as celiac disease or Crohn’s disease, can lead to the appearance of white spots on teeth.

Prevention of white spots

The prevention of white spots on tooth enamel is related to proper dental care and a healthy lifestyle. Here are some tips for preventing white spots on teeth:

Brush your teeth regularly: it is recommended to brush your teeth twice a day for two minutes using a soft-bristled toothbrush and fluoride toothpaste.
Use dental floss: regular flossing helps remove bacteria and plaque that can lead to enamel demineralization.
Limit acidic and sugary foods: acidic drinks and sweets can damage tooth enamel and cause demineralization. Try to limit their consumption and don’t forget to brush your teeth after each meal.

Drink water with a high fluoride content: water rich in fluoride can help strengthen tooth enamel and protect it from demineralization.
Visit your dentist regularly: regular dental check-ups help detect problems at an early stage before they lead to enamel demineralization.
Avoid unprofessional teeth whitening: improper whitening can damage the enamel and cause white spots.
Avoid smoking and alcohol consumption: nicotine and alcohol can lead to enamel demineralization and the appearance of white spots on teeth.

лечение

By following these tips, you can reduce the risk of white spots on enamel and maintain your dental health for many years.

It is important to understand that in some cases, white spots on teeth may be temporary, but this definitely does not mean that self-treatment is appropriate. Most likely, you will only cause more harm to your enamel and oral cavity.

Unlike skin, nails, or hair, tooth enamel is almost incapable of self-repair, so any damage — such as a crack or a spot — is a reason for an immediate visit to the dentist. At “Sa-Nata,” experienced dentists use high-tech equipment and the most advanced methods to treat enamel cracks and white spots. These techniques help preserve the tooth and restore its aesthetics, even in cases of severe damage or destruction.

Share

    Subscribe to the Sa‑Nata newsletter and stay updated on current promotions and discounts
    We promise, no spam!)
    Current Promotions
    -7%
    For any service when booking an appointment through the website form
    Online Booking
    Clinic Addresses

    Choose the Dental Clinic Convenient for You

    This site is registered on wpml.org as a development site. Switch to a production site key to remove this banner.