Category: Children's dentistry

Cavities in Childhood. Pediatric Cavity Treatment

Кариес в детском возрасте. Лечение детского кариеса
Share
Many parents mistakenly believe that there is no need to treat baby teeth since they will eventually fall out and be replaced by permanent ones. This is a serious and harmful misconception because the development and condition of baby teeth directly affect the health of permanent teeth. It is from this mistake that many dental diseases and pathologies begin — the ones your child may face during adolescence. Therefore, an important conclusion follows: baby teeth must be treated and carefully monitored for their health.

Why does the health of permanent teeth directly depend on the health of baby teeth?

The infection that develops in a baby tooth also spreads to the buds of future permanent teeth. As a result, a permanent tooth may erupt and develop already diseased. That is why it is extremely important to carefully monitor baby teeth and never allow deep cavities to form. Another common and serious mistake is that parents, trying to spare their child’s psyche from stress, avoid or postpone visits to the dentist for as long as possible. Why is this approach fundamentally wrong? Because by delaying the visit to a pediatric specialist, the early-stage cavity (which could have been easily and painlessly treated) continues to progress, worsens, and eventually leads to complications. It is only when the child can no longer bear the pain and home remedies no longer help that parents rush to the dentist. In the chair, it turns out that the situation has already become complicated, and the procedure now requires more time and intervention. This creates stress for both the child and the parents and poses a risk to the child’s dental health. Our specialists at the “Sa-Nata” network of clinics strongly advise against such an approach. Instead, they recommend seeking professional help immediately, even at the first sign of minor discomfort, to avoid unnecessary stress and prevent complications. Moreover, these short and simple visits help gently and gradually prepare the child for future appointments. Over time, the child will no longer fear dental visits, knowing there is nothing frightening about them. A baby tooth is less durable than a permanent one and is quite vulnerable. Cavities in baby teeth develop rapidly, and their enamel is more susceptible to plaque and damage. It is important to remember that proper care should begin as soon as the baby tooth erupts.

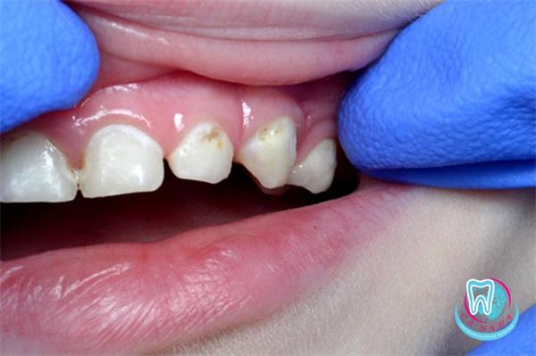
What types of cavities occur in children?

Spot on the tooth enamel

The initial stage of cavities does not damage the integrity of the tooth. In most cases, white spots appear on the front teeth and canines. Usually, this stage causes no discomfort or pain. However, specialists recommend seeking dental care at this point to prevent complications and ensure the visit is painless and as quick as possible for the child.

Surface cavity of a baby tooth

The spot becomes darker in color and begins to damage the enamel, though the tooth dentin is not yet affected. At this stage, the child may experience tooth pain and sensitivity. In such cases, a pediatric specialist may perform a remineralization procedure or apply a filling.
детская стоматология

Moderate childhood cavities

At this stage, the tooth damage already affects the dentin, which significantly increases sensitivity to hot and cold and may cause severe pain in the child. In this case, cavity treatment involves cleaning and removing the decayed area, followed by filling the tooth.

Deep cavity of a baby tooth

This is considered an advanced, complicated stage in which the dentin is severely damaged. It is accompanied by sharp pain and visible carious areas on the tooth — chips, black spots, cavities, and significant destruction — and may also cause bad breath. In such cases, cavity preparation and filling are necessary. Depending on the level of complication, a temporary medicated liner may first be applied, followed by the placement of a permanent filling. Cavities in children can also be primary or secondary. Primary cavities refer to the first occurrence of tooth decay in a child, while secondary cavities develop in a tooth that has previously undergone treatment.

How to tell if your child has cavities?

Как понять, что у малыша кариес?
    • Visible spots on the teeth (white or brown)  
    • Presence of carious cavities  
    • Pain or discomfort when pressing or eating  
    • Sensitivity to hot, cold, or sour foods  
    • Bad breath  
    • Fever, nausea, weakness
In general, baby teeth are more prone to cavity development, and infections progress much faster in baby teeth than in permanent ones.

Causes of cavity development in children:

Причины развития кариеса у детей:
    • Consequences of infectious diseases  
    • Excessive consumption of sweets  
    • Hereditary predisposition  
    • Lack of calcium and fluoride in the body
    • Poor and irregular oral hygiene at home (*link to the article “Hygiene Lesson”)  
    • Sharing utensils with parents
    • Maternal smoking during pregnancy can also affect the future development of cavities in a child’s baby teeth
    • Use of certain medications during the first two years of a child’s life
    • Prolonged use of feeding bottles over an extended period

Pediatric Cavity Treatment at “Sa-Nata”

Лечение детского кариеса в “Са-Ната”
Just like in adults, the most effective method of treating cavities in children (based on our ten years of experience) is standard cleaning of the affected area, cavity preparation, and tooth filling. However, since children are not as emotionally resilient as adults and are often afraid of unfamiliar sounds and sensations in the dentist’s chair, our pediatric specialists use certain techniques to make the process easier. Our specialists are not only qualified pediatric dentists but also excellent child psychologists. Across our network of clinics, we often use a psychological adaptation service to help children prepare for upcoming procedures. This process is highly effective and has a positive impact on treatment outcomes. The “Sa-Nata” clinic also offers a wide range of modern, safe pain-relief methods — including “treatment during sleep” (sedation). Therefore, parents of our young patients can be 200% sure that their child’s cavity treatment will be painless and efficient. And at the end of the appointment, every child receives a special gift! Trust your most precious — your beloved children — only to qualified and experienced specialists! “Sa-Nata” will not only turn your child’s visit to the dentist into an engaging and fun experience but will also ensure comfortable and painless treatment with guaranteed successful results, eliminating the need for retreatment. We take care of you and your children, saving your nerves and finances while giving your family only positive emotions and impressions from every visit!
Share

    Subscribe to the Sa‑Nata newsletter and stay updated on current promotions and discounts
    We promise, no spam!)
    Current Promotions
    -7%
    For any service when booking an appointment through the website form
    Online Booking
    Clinic Addresses

    Choose the Dental Clinic Convenient for You

    This site is registered on wpml.org as a development site. Switch to a production site key to remove this banner.