Рубрика: Ортопедическая стоматология

Как устанавливается ортопедическая коронка на зуб?

коронка
Поделиться

Ортопедическая коронка на зуб — это зубная протезная конструкция, которая надевается на оставшуюся часть зуба после удаления пораженной части или при значительном его повреждении. Коронка позволяет восстановить форму, функцию и эстетику зуба.

Процедура установки ортопедической коронки обычно проходит в несколько этапов. Сначала зуб подготавливается путем удаления поврежденной его части, затем зубная коронка создается в нашей цифровой лаборатории “Са-Ната Династия” на основе 3-Д сканирования. Коронка может быть выполнена из различных материалов, таких как керамика или диоксид циркония. После изготовления коронка устанавливается на зуб и при необходимости подгоняется и фиксируется на постоянной основе.

Важно отметить, что новая коронка устанавливается исключительно на здоровый зуб, то есть перед установкой его необходимо продиагностировать и пролечить в случае необходимости. Сам процесс установки ортопедической коронки является безболезненным и обычно осуществляется с помощью применения местной анестезии.

Этапы процесса установки ортопедической коронки на зуб:

  • Сбор анамнеза. Как и любая другая стоматологическая процедура, установка коронки начинается с профессионального осмотра и консультации со специалистом. Стоматолог-ортопед осуществляет детальную диагностику — рентген, который позволяет качественно изучить и оценить клиническую картину пациента, подобрать правильные пути решения ее проблематики. После полученной продиагностированной информации составляется дальнейший план лечения, который может включать в себя не только ортопедическое лечение, но и терапевтическое. Так как для установки коронки необходимо произвести ряд определенных подготовительных работ с зубом.
  • Подготовка к установке. Проведение профессиональной гигиены полости рта у пародонтолога, гигиениста или терапевта с целью удаления скопившегося зубного налета и сформировавшегося зубного камня.
  • Санация ротовой полости. Выявления проблемных зубов: какие подлежат терапевтическому лечению, а какие — удалению. Осуществление лечения кариеса, пародонтологических, хирургических манипуляций и эндолечение каналов или корней зубов. Нельзя устанавливать коронку на зуб в полость рта без предварительной санации!
коронка
  • Выбор материала будущей коронки. Индивидуальный подбор материала, из которого будет изготавливаться коронка для пациента. Материал коронки должен максимально подходить пациенту в эстетическом и функциональном плане, учитывая его клиническую ситуацию и индивидуальные показания.
  • Подбор цвета коронки. Выбор цвета будущей ортопедической коронки на зуб происходит с помощью применения специального приспособления — шкалы Vita. С цветом по протоколу нужно определяться именно тогда, когда осуществлена полноценная профессиональная чистка зубов. Определение цвета коронки на зуб — это важный этап процесса установки коронки, так как он должен соответствовать остальным зубам и придавать естественный вид улыбке. Есть небольшой нюанс в данном процессе: культя зуба отвечает за цвет эмали. Если зуб нездоровый, дентин может изменить цвет и тогда установленная коронка будет отличаться от цвета других зубов в улыбке. И наоборот: другие нездоровые зубы рядом поменяют свой цвет и будут значительно отличаться от искусственной ортопедической коронки. По этой причине очень важно сначала пролечить все зубы, а потом уже устанавливать ортопедическую коронку.
коронка
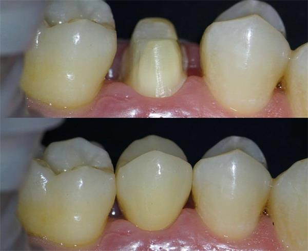
  • Обработка зуба под коронку. Обработка (препарирование) зуба — придание зубу необходимой формы, на которую плотно и прочно будет “садиться” будущая коронка. Она должна качественно зафиксироваться на зубе, поэтому под каждый материал коронки есть своя необходимая обработка зуба, так как та или иная коронка имеет свою индивидуальную толщину. Перед установкой циркониевой коронки необходимость препарирования (обработки) зуба составляет 1мм тканей, под керамическую — от 0.5 мм до 1 мм. Если зуб не депульпирован, то для его обработки перед установкой коронки применяется местная анестезия для комфортного проведения процедуры. Цель препарирования зуба под коронку — получение на выходе культевой базы зуба (культи зуба), на которую плотно и надежно крепиться ортопедическая коронка.
  • Изготовление коронки. Для того чтобы индивидуально изготовить коронку в нашей лаборатории, делается 3-Д сканирование челюсти с помощью 3-Д сканера Sirona или отдельного необходимого зуба. По данному скану в нашей зуботехнической лаборатории техники будут изготавливать индивидуальную ортопедическую конструкцию. Именно от разновидности материала коронки зависит срок процесса ее изготовления. В период ожидания, для адаптации и корректировки пациенту устанавливают временную коронку из пластмассы.
коронка
  • Примерка и фиксация коронки. После того как коронка готова, нужно обязательно осуществить ее примерку перед фиксацией. В процессе такого приема специалистом оценивается плотность прилегания (усадки) коронки на культю зуба. В случае если пациент не ощущает некий дискомфорт, коронку фиксируют на зуб. Также возможна и временная фиксация готовой ортопедической коронки с целью “тест-драйва” коронки на 3-4 недели. Если в процессе данного промежутка времени не выявлено никаких нюансов по комфорту эксплуатации коронки, ее фиксируют пациенту на постоянную основу. Данный этап является заключительным в процессе установки ортопедической конструкции.

*Важно помнить, что процедура установки коронки на зуб может отличаться в зависимости от индивидуальных особенностей пациента и состояния зубов. Поэтому всегда следует обсуждать все детали процедуры со своим врачом-стоматологом.

Как изготавливается ортопедическая коронка

коронка

Пару тезисов о том, как именно изготавливается ортопедическая коронка:

  • Получение наряда. После того, как врач отсканировал пациента, он отправляет сканы в кейс-центр, после чего наши техники получают наряд, где подробно описан вид работы («техническое задание» другими словами).
  • Проект и фрезерование. Далее создается дизайн в специальной компьютерной программе Exocad. Следующий шаг: ставим коронки на фрезерование в зависимости от их материала.
  • Синтеризация (спекание коронки). После фрезерования помещаем выпиленные заготовки коронки в специальную печку для синтеризации.
коронка
  • Обработка и покраска. Это полностью ручная работа, которую выполняет зубной техник в лаборатории. При обработке создается природный блеск и естественная структура поверхности зуба. Покраска похожа на процесс написания картины художником. Специальными красками техник придает коронке естественные переливы, оттенки и тени.
  • Проверка и сдача работы. Крайним этапом является проверка по посадке и сдаче уже готовой работы. Примерка после завершения изготовления коронки обязательна. На данном этапе могут быть внесены некоторые коррективы для доведения результата до идеала и максимального удобства для пациента.
коронка

Не стоит забывать, что ортопедическая стоматология это не только про эстетическое протезирование, но и про обеспечение жевательной функции зуба. Ну а что касается ее эстетического направления, безусловно благодаря современным методикам и материалам удается восстановить целостность зубного ряда, включая индивидуальный подбор цвета, формы, текстуры, размера и даже положения зуба в ряду. Современная стоматология предоставляет широкий спектр выбора материала и разнообразные способы исполнения ортопедической коронки. Немалым преимуществом также является то, что клиника имеет свою собственную лабораторию по изготовлению ортопедических конструкций. Это предоставляет возможность выбирать самостоятельно материалы для изготовления, контролировать каждый процесс создания коронки, а также возможность доведения результата до 100% идеала.

Уже почти 13 лет мы осуществляем заветные мечты наших пациентов иметь красивую и здоровую улыбку как с обложки журнала! На нашем счету уже более 60 000 пациентов, которые выбирают “СА-НАТА” и доверяют свои улыбки. А своя собственная цифровая зуботехническая лаборатория предоставляет нашей команде уникальные возможности создавать ортопедические конструкции любой сложности из самых качественных и долговечных материалов: циркона и керамики. Когда Вы в “СА-НАТА” — Вы в надежных руках настоящих знатоков своего дела!

Поделиться

    Подпишитесь на рассылку Са-Ната и будьте в курсе актуальных акций и скидок
    Обещаем, никакого спама)
    Актуальные акции
    -7%
    на любую услугу при записи на прием через форму сайта
    онлайн-запись
    Адреса клиник

    Выберите удобную Вам стоматологию

    Image Осокорки
    Са-Ната Осокорки Киев, Днепровская набережная, 15-К
    Стоматология Са-Ната на Осокорках
    Image Лукьяновская
    Стоматология на Лукьяновке Киев, ул. Дмитриевская, 75
    Image Вокзальная
    Стоматология на Соломенке Киев, ул. В. Липковского, 37В
    Этот сайт зарегистрирован на wpml.org как сайт разработки. Переключитесь на рабочий сайт по ключу remove this banner.